Ангиома мозга — это доброкачественное новообразование, состоящее из кровеносных сосудов и возникающее в головном или спинном мозге. Эти опухоли могут варьироваться по размеру и формировать сгустки сосудов, что иногда приводит к нарушению кровообращения или повышенному риску кровоизлияний.
Хотя многие ангиомы бессимптомны и могут не требовать лечения, в некоторых случаях они могут вызывать головные боли, неврологические расстройства или другие проблемы, требующие медицинского вмешательства. Диагностика осуществляется с помощью методов визуализации, таких как МРТ или КТ.
Кавернозные ангиомы головного мозга
Кавернозные ангиомы, также известные как каверномы, являются врожденной сосудистой аномалией. Они состоят из множества полостей, которые отделены друг от друга перегородками и наполнены кровью. Стенки этих сосудов имеют тонкую структуру, что приводит к тому, что эритроциты могут просачиваться через стенки кавернозной ангиомы и накапливаться в окружающей мозговой ткани. Данный процесс называется «диапедезным кровоизлиянием», и его проявления можно увидеть на МРТ в форме характерного черного ободка вокруг кавернозного образования.
Чаще всего каверномы располагаются в больших полушариях, стволе мозга, мозжечке, подкорковых узлах, мозолистом теле и боковых желудочках.
Данные образования могут быть бессимптомными на протяжении всей жизни, но иногда возникают и клинические симптомы. К ним могут относиться кровоизлияния (хотя они реже бывают массивными по сравнению с артериовенозными мальформация) и/или эпилептические приступы.
Наибольшую опасность для здоровья представляют каверномы, находящиеся в продолговатом мозге, рядом с важнейшими функциональными центрами головного мозга, такими как дыхательный и сосудодвигательный центры.
Если кавернома случайно обнаруживается на МРТ и никаких симптомов не наблюдается, может быть рекомендовано динамическое наблюдение. Однако при возникновении кровоизлияний или эпилептических приступов назначается лечение с использованием гамма-ножа либо хирургическое удаление образования.
Симптомы артериовенозных мальформаций
Артериовенозные мальформации головного мозга чаще всего выявляются случайно во время диагностических исследований, таких как КТ или МРТ, и в большинстве случаев не проявляют симтомов. Тем не менее, примерно у 12% пациентов наблюдаются неврологические проявления. Если мальформация расположена на коре мозга, она может вызывать эпилептические атаки или приводить к ишемии мозга из-за недостатка кровотока, что может вызывать парезы и параличи. Наибольшую угрозу представляет вероятность разрыва сосудов АВМ и сопутствующего кровоизлияния. Каждый год примерно 1% пациентов с артериовенозной мальформацией умирает от осложнений.
Наиболее широко распространёнными симптомами при артериовенозных мальформациях являются судороги и головные боли. При этом стоит отметить, что не существуют характерные типы судорог или головных болей для данной патологии. Судороги могут быть как частичными, так и генерализованными, сопровождаясь нарушениями сознания различной степени. Головные боли могут отличаться по интенсивности, частоте и длительности.
Иногда головная боль может локализоваться на одной половине головы, что может указывать на расположение артериовенозной мальформации. В то же время, чаще всего, расположение болей не указывает на место локализации ангиомы.
Артериовенозные ангиомы способны вызывать разнообразные неврологические симптомы, которые различаются у каждого пациента в зависимости от места их нахождения. Такие симптомы могут включать в себя мышечную слабость или паралич, нарушения координации, апраксию, головокружение, зрительные расстройства, отек диска зрительного нерва, нарушения речи, памяти и сознания, а также деменцию.
Симптомы, ассоциированные с артериовенозными мальформациями, могут возникать в любом возрасте, но чаще всего их наблюдают у людей старше 20 лет. Если артериовенозная ангиома была выявлена у человека старше 50 лет без каких-либо проявлений, это может свидетельствовать о её стабильности и отсутствии неврологических симптомов в будущем. У женщин в некоторых случаях беременность может усугубить проявления артериовенозной мальформации.
Одним из видов артериовенозных мальформаций головного мозга является дефект вены Галена – крупного сосуда, располагающегося глубоко в мозге. Эта патология часто’
Следует помнить, что венозные ангиомы часто образуются в сочетании с кавернозными мальформациями (каверномами).
Как часто возникают артериовенозные мальформации
Истинная частота данных мальформаций не установлена, так как они не всегда проявляют клинику.
Артериовенозные мальформации начинают давать неврологические симптомы лишь тогда, когда начинают оказывать давление на ткани головного или спинного мозга. Именно по этой причине так мало пациентов с проявлениями артериовенозных мальформаций. Они могут вызывать симптомы различными путями: за счёт «обкрадывания» кровотока в мозговых тканях, в результате разрыва и появления кровоизлияния, а также сжимая мозговые ткани.
Что такое ангиома мозга?
Кавернозные ангиомы (каверномы) в большинстве случаев являются врожденными сосудистыми аномалиями, которые представлены отдельными, реже множественными полостями, разделёнными септами и заполненными кровью. Они получают кровь от мелких артериол и капилляров, а кровоток осуществляется через венулы аналогичного размера.
Поскольку питающие сосуды имеют небольшой диаметр, давление крови внутри каверном относительно низкое, что препятствует гипертрофии дренирующих вен, делая их невидимыми при таких исследованиях, как КТ, МРТ или ангиография. Особенностью каверном является их очень тонкая и неполноценная сосудистая стенка, настолько хрупкая, что эритроциты могут через неё проходить и накапливаться в прилегающем мозговом веществе. Этот процесс называется «диапедезным кровоизлиянием». Продукты распада гемоглобина (гемосидерин), содержащиеся в эритроцитах, формируют вокруг каверномы зону хронических, специфических и хорошо узнаваемых изменений на МРТ.
Каверномы могут находиться в любой части мозга, но чаще всего встречаются в больших полушариях, а В стволе мозга, мозжечке, подкорковых узлах, мозолистом теле и боковых желудочках. В приблизительно 30−40% всех случаев кавернозные ангиомы сочетаются с другой сосудистой патологией – венозными ангиомами, которые представляют собой аномальное развитие вен, формирующее «пучок» мелких вен, собирающийся в одну крупную дренажную вену.
Частота выявления кавернозных ангиом составляет всего несколько случаев на миллион населения.

Каверномы могут оставаться бессимптомными на протяжении всей жизни, однако у ряда пациентов клинические проявления могут быть различными, как отдельные, так и в сочетании:
Каверномы: диагностика и терапия
1. Кровоизлияние. В некоторых случаях увеличение артериального давления внутри каверномы может привести к разрушению стенок сосудов и вызвать внутримозговое кровоизлияние. В отличие от арteriovenous malformations (АВМ), кровоизлияния из каверном характеризуются небольшими объемами и редко представляют угрозу для жизни пациента, за исключением редчайших случаев, когда каверномы расположены в нижних отделах продолговатого мозга, где находятся центры, регулирующие сердечно-сосудистую и дыхательную деятельность. Если же кровоизлияние происходит в области, отвечающей за определенные функции, даже небольшие объемы могут вызывать неврологические симптомы (например, контрлатеральный гемипарез при локализации в прецентральной извилине лобной доли).
2. Эпилептический синдром. При длительном накоплении гемосидерина в мозговой ткани или возникновении острого кровоизлияния может образоваться очаг ненормальной биоактивности мозга, что может проявляться в эпилептических приступах различного характера (судорогами, бессудорожными формами, абсансами, вегетативными реакциями и т.д.).
Таким образом, каверномы редко являются угрозой для жизни пациента, но могут значительно ухудшать качество его жизни.
Как правильно диагностировать каверному?
Магнитно-резонансная томография (МРТ) представляет собой наиболее эффективный метод для диагностики каверном. В режимах Т1 и Т2 можно наблюдать полость с черным ободком из гемосидерина, а также признаки острых и подострых кровоизлияний. Наиболее информативным считается режим Т2*, который позволяет обнаружить даже мелкие каверномы размером 1−2 мм, недоступные для других режимов сканирования.
Компьютерная томография может быть полезна лишь в острый период кровоизлияния (несколько дней), когда удается выявить область излитой крови.
Ангиография не является надежным методом при исследовании каверном.
Какие методы лечения каверномы?
Если у пациента развивается эпилептический синдром и/или происходит кровоизлияние, существуют два подхода к лечению:
Методы и подходы к удалению каверномы и венозной ангиомы
Хирургическому удалению каверномы отводится важная роль, так как этот эффективный способ устраняет вероятность повторных кровоизлияний у пациента. Данная операция также имеет положительный эффект при наличии эпилептических приступов, хотя ее результативность снижается при длительном течении заболевания.
Радиохирургические процедуры осуществляются по аналогии с лечением артерио-венозных мальформаций: чем выше доза, тем заметнее результат. Оптимально поддаются лечению каверномы диаметром менее 1 см, что позволяет безопасно применять максимальные дозы радиационного воздействия. Происходящие морфологические процессы похожи на изменения при артерио-венозных мальформациях — стенки каверномы и входящих сосудов подвергаются гиалинозу, что приводит к снижению кровотока и прекращению диапедезных кровоизлияний. Риск повторных спонтанных внутримозговых кровоизлияний уменьшается на 50−70%. Эпилептические приступы также могут стать реже или исчезнуть, однако, как и в случае с хирургическим лечением, чем длительнее болезнь, тем меньше шансов на полное выздоровление.
Стандартная стратегия в отношении бессимптомных, случайно обнаруженных каверном заключается в наблюдении.
Облучение множественных каверном
При радиохирургическом лечении множественных каверном также фокусируемся только на клинически проявляющихся очагах — при наличии кровоизлияний или эпилептических приступов.
Венозная ангиома: что предпринять?
Вопрос о том, как устранить венозную ангиому, возникает довольно часто.
Во-первых, следует понимать, что венозные ангиомы не проявляются в виде кровоизлияний или эпилептических приступов. Во-вторых, несмотря на неправильную структуру венозной сети, они активно участвуют в местном венозном кровообращении мозга.
Единственный способ, при котором могут появиться клинические симптомы, связанный с венозной ангиомой — это случайное развитие тромбоза в дренирующей вене. Однако такая ситуация встречается скорее теоретически, чем на практике. В этом случае у пациента могут развиться симптомы венозного инфаркта мозга с заметным отеком в области нарушенного венозного оттока.
И только один метод может помочь в данной ситуации — это тромболитическая и антикоагулянтная терапия. Хирургические или радиохирургические вмешательства на венозные ангиомы не только нецелесообразны, но и могут привести к серьезным нарушениям венозного кровообращения так же, как и в случае тромбоза. Таким образом, наличие венозной ангиомы само по себе не требует какого-либо медицинского вмешательства.
Какой способ лечения каверномы является наиболее эффективным?
С учетом предотвращения повторных кровотечений, хирургическое вмешательство демонстрирует более высокую результативность. Тем не менее, если кавернома расположена в критически важных или сложно доступных участках мозга (например, в подкорковых ядрах или стволе мозга), хирургические операции могут привести к значительным рискам оставшегося неврологического дефицита.
Использование радиохирургии значительно снижает вероятность подобных осложнений. В связи с этим выбор наилучшей методики лечения осуществляется индивидуально, принимая во внимание все имеющиеся факторы, включая осознанное согласие самого пациента.
Рис. 1) Результат радиохирургического вмешательства при лечении каверномы ствола мозга. Слева — кавернозная ангиома, находящаяся на боковой поверхности ствола мозга в момент применения радиохирургии с использованием Гамма-ножа. Справа — заметное сокращение размеров каверномы спустя 3.5 года после проведенного лечения. Повторные кровоизлияния отсутствуют
Методы обследования ангиомы головного мозга: МРТ и КТ

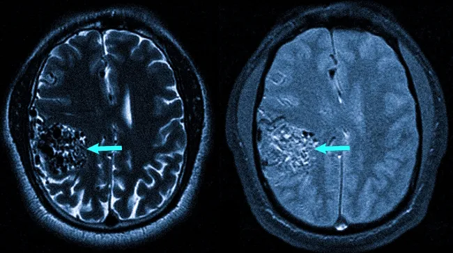
На МРТ показана артерио-венозная ангиома, располагающаяся в правом полушарии мозга (обозначена стрелкой).

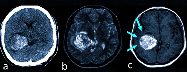
Кавернозная ангиома на КТ (А) и МРТ (В, С — указаны стрелками).
Процесс постановки диагноза “сосудистая мальформация головного мозга” зачастую является сложной задачей. Неосложненные ангиомы небольших размеров на компьютерной томографии обнаружить сложно, особенно без применения контрастного вещества. Магнитно-резонансная томография в некоторых случаях может предоставить более полную информацию, так как данный метод более чувствителен к изменениям в скорости кровотока.
Компьютерную томографию используют в экстренных ситуациях для диагностики внутримозговых кровоизлияний. Крупные ангиомы часто выявляются случайно в процессе других исследований.
МРТ применяется для наблюдения за динамикой сосудистых мальформаций и как дополнительный метод визуализации для выбора наиболее подходящей стратегии лечения.
Причины возникновения
В большинстве случаев венозной ангиомы головного мозга речь идет о наследственной врожденной патологии, насчитывающей около 90% случаев. Исследования выявляют несколько факторов, кроме генетических, таких как травмы сосудов головы или воздействие инфекционных агентов. К другим причинам можно отнести соматические заболевания.
Патогенез связан с патологическим формированием анастомозов между сосудами, а также с компрессией соседних тканей по мере роста ангиомы.
Хотя венозная ангиома считается менее опасной, ее аномальная структура может спровоцировать воспалительные процессы и привести к повреждениям мозга. В некоторых случаях осложнения могут иметь фатальные последствия.
Методы лечения
Стратегия ведения пациента с венозной ангиомой будет зависеть от ее расположения, размеров и скорости роста. В некоторых ситуациях может быть показано оперативное удаление образования.
- Прямое удаление сосудистой мальформации при поверхностном расположении.
- Применение гамма-излучения для окклюзии сосудов ангиомы.
- Введение склерозирующего вещества через катетер.
- Проведение ангиопластики.
В случаях бессимптомного течения заболевания часто проводится динамическое наблюдение.
Показания для проведения КТ при подозрении на ангиому
Компьютерная томография головного мозга рекомендуется в следующих случаях:
- при возникновении резких головных болей;
- при эпизодах судорог;
- при наличии неврологических дефицитов;
- при наличии семейной предрасположенности к сосудистым мальформациям;
- в целях подготовки к операции.
Квалификация нашей клиники
В нашей клинике проводятся высокоточные обследования с использованием КТ головного мозга, включая исследования с контрастированием сосудистых патологий. Мы применяем современные мультиспиральные томографы, которые обеспечивают детализированные изображения с минимальной лучевой нагрузкой.
На изображении представлена артериовенозная ангиома, выявленная с помощью КТ-ангиографии, которая демонстрирует особенности сосудистой мальформации, важные для выбора режима лечения.
