Глицерин, попадая в легкие, может вызывать раздражение и воспаление тканей, однако он не накапливается в организме. Выведение глицерина из легких зависит от дозы и способа поступления, но в большинстве случаев он выводится в течение нескольких часов через лимфатическую и дыхательную системы.
Важно отметить, что индивидуальные факторы, такие как состояние здоровья и функции дыхательной системы, также могут влиять на время выведения. При наличии каких-либо симптомов следует обратиться к врачу для получения профессиональной помощи.
Вейпинг: мифы о безопасном курении
Существует ли вред от жидкостей без никотина?
Производители уверяют, что их устройства абсолютно безопасны и подходят всем. Однако стоит отметить следующие аспекты:
- Привыкание формируется как на физическом, так и на психологическом уровне, что приводит к зависимости;
- Парение вейпов, как и курение сигарет, наносит вред легким. Чем чаще используется вейп, тем больше негативного воздействия на дыхательную систему;
- Отсутствие обязательного контроля качества в некоторых странах может привести к серьезным последствиям для пользователей, которые покупают непроверенные электронные сигареты и жидкости к ним.
Жидкости для вейпинга, включая безникотиновые, содержат глицерин. Это бесцветное и вязкое вещество сладкого вкуса, что и дало ему название (гликос-сладкий). Глицерин сам по себе не является вредным для человека.
Однако при нагревании, что происходит в электронных устройствах, глицерин разлагается, образуя акролеин — канцероген и токсичное вещество первого класса опасности. Акролеин может сильно раздражать дыхательные пути и глаза, а также способствовать развитию серьезных заболеваний. Глицерин Вызывает обезвоживание организма, что приводит к таким симптомам, как сухость в горле и носоглотке, а также ухудшает состояние кожи. У людей с заболеваниями почек такой вейпинг может усугубить существующие проблемы. Важно помнить, что глицерин не полностью выводится из легких.
Жидкости для вейпинга содержат и пропиленгликоль, который при нагреве также негативно влияет на дыхательные пути и может способствовать обострению заболеваний, таких как астма, отек легких, бронхит и другие.
На первый взгляд, состав безникотиновых жидкостей кажется безопасным, однако под воздействием высоких температур в электронных сигаретах он превращается в опасные токсичные соединения (канцерогены, альдегиды).
Таким образом, становится очевидным, что курение безникотиновых электронных сигарет также несет в себе риски для здоровья, сравнимые с рискованными эффектами курения с никотином.

Резюмируя, можно отметить, что каждый из компонентов является потенциально опасным, а в сочетании они оказывают гораздо более негативное воздействие на организм в долгосрочной перспективе. Индустрия вейпинга активно развивается, и ежегодно появляются новые, более мощные устройства, которые могут нанести вред здоровью. Не дайте себя обмануть и не станьте жертвой мифа о вреде безопасного вейпинга.
Дополнительно стоит помнить о том, что вейпинг может негативно влиять на здоровье подростков и молодого поколения, особенно в условиях активного маркетинга, направленного на молодежь. Исследования показывают, что использование вейпов может быть связано с увеличением вероятности перехода на курение традиционных сигарет.
Также стоит учитывать, что даже безникотиновые жидкости могут содержать вредные химические соединения и ароматизаторы, которые вызывают аллергические реакции, раздражение или токсичные эффекты. Безопасность и качество используемых ингредиентов должны быть на первом месте.
Берегите свое здоровье и жизнь.
Опасно ли пассивное курение вейпа?
Пассивный вейпинг — это вдыхание пара от парящего рядом человека. Он вреден так же, как и само курение. Постоянное вдыхание химических паров может быть особенно опасно для детей, которые, находясь рядом, рискуют получить дозу никотина и развить зависимость или проблемы с дыхательной и сердечно-сосудистой системами. Диацетил может вызвать повреждение легочной ткани.

Парильщики и их окружение подвергаются риску здоровья из-за неизвестного состава картриджей. Исследования показали, что даже в безникотиновых жидкостях может содержаться некоторое количество никотина. На рынке присутствует множество поддельных продуктов с неизвестным составом и едким дымом, который воздействует негативно на всех.
Эксперименты показывают, что безопасный уровень пропиленгликоля в воздухе не должен превышать 0,03 мг/м³. Парение в течение 10 минут с безникотиновой жидкостью в закрытом помещении приводит к уровню пропиленгликоля 0,17 мг/м³, что в 5,7 раз выше нормы, что проявляется в виде раздражающего действия. Поэтому даже безникотиновые смеси могут нарушать нормальную работу организма.
Опасно ли вдыхание вейпов для астматиков?
Бронхиальная астма — это хроническое неинфекционное заболевание дыхательных путей, которое проявляется приступами удушья. Курение табака — один из факторов, способствующих развитию дыхательной недостаточности. Переход на вейпы не является надежной альтернативой, поскольку многие химические соединения в жидкостях могут быть аллергенами и вызвать приступ астмы. Астматикам стоит избегать дыма от вейпов, так как индивидуальная реакция может быть непредсказуемой. Регулярное вдыхание паров может способствовать развитию астмы у детей в 70% случаев.
Кроме того, важно отметить, что вейпы часто содержат никотин, который может усиливать симптомы астмы и вызывать зависимость. Некоторые исследования показывают, что вейпы могут содержать вредные вещества, такие как формальдегид и диацетил, которые раздражают дыхательные пути и могут усугубить состояние астматиков. Кроме того, ароматизаторы, используемые в жидкостях для вейпов, также могут вызывать аллергические реакции и обострение симптомов астмы.
Астматикам рекомендуется консультироваться с врачом перед использованием любых продуктов, которые могут негативно повлиять на дыхательную систему. Важно следить за состоянием здоровья и избегать потенциальных триггеров, таких как дым, пыль и химические вещества, включая пары вейпов. Приверженность к лечению и регулярный мониторинг состояния могут помочь в управлении заболеванием.
Что известно о влиянии электронных сигарет на легкие?
EVALI (или электронное повреждение легких, связанное с использованием электронных сигарет) стало известно в 2019 году благодаря отчету Центра по контролю и профилактике заболеваний США (CDC).
С июня 2019 года в США зарегистрировали более 1000 случаев госпитализации, связанных с EVALI. У пациентов отмечались симптомы: одышка, кашель и гипоксемия, а при визуализации грудной клетки выявляли двусторонние затруднения.
Первый случай летального исхода зарегистрировали в августе 2019 года в Иллинойсе. Молодой человек использовал вейп с жидкостью, содержащей тетрагидроканнабинол, и был госпитализирован с острым респираторным дистресс-синдромом. С тех пор в Соединенных Штатах зарегистрировано более 70 летальных исходов, связанных с EVALI.
Актуальные исследования подтверждают явный вред вейпинга и электронных сигарет в следующих случаях:
- Состав жидкости содержит тетрагидроканнабинол, наркотические вещества или сделан кустарным методом;
- Содержит ацетат витамина Е, что может вызывать осложнения, похожие на липоидную пневмонию;
- Повседневное потребление вейпинга превышает рекомендуемые нормы;
- Производитель нарушил технологические процессы изготовления электронной сигареты или жидкости.
В России зафиксированы единичные случаи летального исхода из-за повреждения легких от вейпинга. Например, в 2016 году в Санкт-Петербурге умер мужчина, использующий жидкость с наркотическими составляющими, и через несколько месяцев в Татарстане подросток не дожил до приезда скорой помощи.
Незначительное количество случаев смертей по сравнению с США врачи связывают с тем, что тетрагидроканнабинол не легализован в России, а рынок электронных сигарет еще недостаточно развит.
Жидкости для вейпинга содержат пропиленгликоль, глицерин, никотин и канцерогены (формальдегид, акриломид), которые обладают токсическим воздействием. При нагревании электронных сигарет в дыхательные пути поступают частицы металлов, таких как хром и никель.
Эксперименты на крысах, проведенные в Крымском федеральном университете и Читинской медицинской академии, показали, что у грызунов, находящихся в помещениях с вейпинга жидкостью, на четвертом месяце наблюдаются значительно ухудшения физического состояния — они не могли плавать и держаться на воде более минуты. Кроме этого, отмечалось выпадение шерсти и нарушения репродуктивной функции. Даже в жидкостях без никотина у крыс уже через неделю выявили воспалительные процессы в легких.
В России пока лишь несколько случаев острого нарушения дыхательной функции, связанных с EVALI, зарегистрированы. По международной классификации болезней такие пациенты имеют код U00-U49 (новые болезни неясной этиологии, назначаемые в экстренных ситуациях) или U07.0 (травма легких, связанная с курением высококонцентрированных веществ).
Зарегистрированы случаи травм из-за взрывов испарителей, особенно из-за некачественных аккумуляторов. Результатом таких инцидентов стали травмы у детей.
Например, в Новосибирске вейп-испаритель взорвался в руках 13-летнего мальчика. У него пострадало лицо, а хирурги были вынуждены ампутировать три пальца и удалить несколько зубов. Мальчик признался, что купил устройство на барахолке втайне от родителей, а причиной взрыва стало замыкание аккумулятора.
Московские СМИ также сообщали о схожем случае, когда 17-летний подросток получил травмы челюсти.
Кроме того, исследования показывают, что вдыхание дыма из вейпов может приводить к серьезным долгосрочным последствиям, таким как хронические обструктивные заболевания легких и даже рак легких. Поскольку состав жидкостей для вейпинга может варьироваться, потребители часто не имеют представления о потенциальных рисках каждого конкретного продукта.
Важно также отметить, что многие подростки и молодые люди, использующие электронные сигареты, могут не осознавать существующие риски для здоровья, считая вейпинг более безопасным, чем традиционное курение. Образовательные кампании и программы prévention играют ключевую роль в информировании населения о вреде вейпинга и необходимости соблюдать осторожность при использовании подобных устройств.
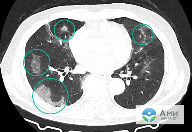
Как визуализируется повреждение легких от вейпинга на КТ
Повреждение легких в результате вейпинга и электронных сигарет
Повреждение легких на КТ при EVALI выглядит как пневмония. Оно определяется по симптомам «матового стекла» (очаги инфильтрации и уплотнения легочной ткани), локализованным в основном вокруг бронхов. Часто наблюдаются консолидация и затемнение. Чаще всего страдают нижнедолевые и субплевральные области легких — симметрично с обеих сторон.

По данным американских специалистов, все пациенты с EVALI сообщают о постепенном ухудшении состояния, одышке и снижении физической активности.

Электронная сигарета, действуя как ингалятор, вводит никотин, пропиленгликоль (Е 1520), глицерин, ароматизаторы и другие компоненты в дыхательную систему. Состав паров, которые мы вдыхаем, часто остается загадкой, так как производители могут не раскрывать его полную информацию. Многие жидкости для вейпов изготавливаются вручную, что может снижать их стоимость, но также и безопасность. Исследования выявили 31 потенциально опасный компонент, который может находиться в вейп-парах. Кроме того, под воздействием высоких температур, присутствие канцерогенов в каждой затяжке возрастает.
Какие риски представляют альдегиды?
Глицерин, находящийся в составе электронных сигарет, обладает особыми свойствами при удерживании влаги. В нормальных условиях он не вызывает вреда, однако нагревание изменяет его свойства и приводит к образованию токсичных веществ.
Латинское название одного из них — акролеин — передает его опасный характер, переводя как «острый» или «едкий». Это вещество раздражает слизистую глаз, вызывая слезотечение, и негативно сказывается на дыхательных путях, проявляя мутагенные качества.

При высоком уровне воздействия возможны следующие эффекты:
- аллергические реакции;
- воспалительные процессы в глотке и бронхах;
- снижение обоняния;
- уменьшение способности ощущать вкус.
Эти негативные последствия связаны с тем, что пар воздействует на реснитчатый эпителий, нарушая его функциональность. В результате это затрудняет очищение дыхательных путей, и вредные вещества остаются в легких, нарушая здоровье.
При использовании популярных устройств сложно контролировать температурный режим. Если жидкость перегревается, могут выделяться и другие альдегиды: формальдегид и ацетальдегид. Не все вейпы способны минимизировать этот риск. Первые признаки «сухого пара» должны насторожить вас — это сигнализирует о необходимости дозаправки устройства.
Низкое напряжение аккумулятора не приносит серьезного вреда, альдегиды в этом случае образуются в ограниченном объеме. Однако при высоком напряжении их концентрация может значительно превышать уровень, сопоставимый с дымом от традиционных сигарет. Если количество выделяемого пара удваивается, то уровень альдегидов возрастает в три раза, а акролеина — в десять. Если вкус вдыхаемого пара стал неприятным, это говорит о высоком уровне токсичных веществ.
Нельзя игнорировать вред глицерина в электронных сигаретах, так как его продукты распада относятся к первому классу опасности. Они могут повреждать сосуды, активировать тромбоциты и провоцировать другие негативные эффекты. Эксперты полагают, что акролеин будет одной из главных причин заболеваний, связанных с курением.
Риски для сердечно-сосудистой системы
Сердце и сосуды являются важнейшими органами, отвечающими за доставку кислорода и питательных веществ к различным тканям организма. Употребление электронных сигарет с глицерином создает дополнительную нагрузку на сердечно-сосудистую систему. Это вещество может приводить к повышению артериального давления, что, в свою очередь, увеличивает вероятность различных сердечно-сосудистых заболеваний, таких как стенокардия, инфаркт миокарда и острые нарушения мозгового кровообращения. Также глицерин может способствовать образованию тромбов, что повышает риск тромбозов и инсультов.
Глицерин, составляющий важную часть электронных сигарет, может оказывать негативное воздействие и на кожу.
Во-первых, он способен вызывать сухость и раздражения, особенно у людей, склонных к аллергическим реакциям или имеющим уже существующие кожные проблемы. При постоянном воздействии глицерина могут возникать шелушение и покраснение кожи.
Отрицательные влияния глицерина на кожу
Глицерин является гумектантом, что означает, что он притягивает воду. При использовании электронных сигарет глицерин попадает в организм и может привести к обезвоживанию кожи. Сухая кожа более подвержена образованию морщин и теряет свою упругость и эластичность.
Кроме этого, глицерин может вызывать раздражение и воспаление кожи у некоторых пользователей, что усугубляет состояние тех, кто страдает от акне или экзема. При постоянном контакте с глицерином могут возникнуть новые кожные проблемы.
Глицерин еще и может adversely влиять на структуру и цвет кожи, провоцируя пигментацию и меняя оттенок кожи, делая его тусклым и неоднородным. Чтобы избежать негативных последствий для кожи, рекомендуется ограничить или полностью отказаться от использования электронных сигарет.
- Глицерин может вызывать обезвоживание кожи;
- Может стать причиной раздражения и воспаления;
- Влияет негативно на структуру и цвет кожи;
- Рекомендуется ограничить использование электронных сигарет или полностью отказаться от них;
- Консультация с дерматологом при возникновении негативных изменений на коже — необходима.
