Линейный пневмофиброз легких требует комплексного подхода к лечению. Основное внимание следует уделить устранению причины заболевания, что может включать в себя избегание вредных факторов, таких как курение или воздействие токсичных веществ. Важно также проводить регулярные обследования и следить за состоянием легких.
В терапевтическом плане могут быть назначены противовоспалительные препараты, бронхолитики и средства для улучшения отхаркивания. В некоторых случаях может понадобиться реабилитация легких, включающая дыхательную гимнастику и физические упражнения, что поможет улучшить функции дыхательной системы и качество жизни пациента.
- Определение: Линейный пневмофиброз — это хроническое заболевание легких, характеризующееся образованием рубцовой ткани, что приводит к снижению функции органов.
- Причины: Основные факторы включают длительное воздействие вредных веществ, инфекции и последствия других заболеваний органов дыхания.
- Симптомы: При заболевании наблюдаются одышка, хронический кашель, утомляемость и боль в грудной клетке.
- Диагностика: Для постановки диагноза используются рентгенография, компьютерная томография и функциональные тесты легких.
- Лечение: Включает использование противовоспалительных препаратов, бронхолитиков, кислородотерапию и, в тяжелых случаях, хирургическое вмешательство.
- Профилактика: Избежание контакта с токсичными веществами, регулярные медицинские осмотры и контроль за существующими заболеваниями легких.
Легочный фиброз диагностика и лечение
Идиопатический легочный фиброз (ИЛФ) представляет собой специфическое заболевание легких, которое характеризуется интерстициальной пневмонией как основной морфологической основой. Альтернативные названия этого заболевания включают идиопатический фиброзирующий альвеолит (ИФА) и криптогенный фиброзирующий альвеолит.
Проще говоря, легочный фиброз — это болезнь легких с неизвестными причинами, проявляющаяся прогрессирующей одышкой и изменениями, связанными с образованием фиброзной ткани. Эти изменения затрудняют процесс дыхания.
В ходе заболевания повреждаются альвеолы — воздушные мешочки в легких, играющие ключевую роль в снабжении крови кислородом. Повреждения также способствуют образованию рубцовой ткани, тем самым вызывая деформацию легких. У больных это проявляется в виде кашля и усиливающейся одышки.
Люди, которые страдают ИЛФ, обычно старше 40 лет, чаще болеют мужчины, летальность при ИЛФ составляет 3,3 случая на 100000 населения (для мужчин) и 2,5 на 100000 у женщин. Это — очень тяжелая болезнь имеет прогрессирующее течение, приводит к значительным ухудшениям в течение долгого времени.
Почему я заболел легочным фиброзом?
Причины возникновения ИЛФ все еще остаются неясными для медицины на глобальном уровне. Однако были выделены группы людей, которые находятся в зоне риска заболевания ИЛФ. К таким категориям относятся:
- Лица, которые курят;
- Те, кто подвергался воздействию летучих токсичных химических веществ или промышленных загрязнителей на протяжении длительного времени;
- Работники, связанные с воздействием мелкой органической и неорганической пыли (например, мука, работники птицеводческих заводов или производители удобрений) на протяжении многих лет;
- Люди с семейной предрасположенностью к данному заболеванию.
Линейный пневмофиброз легких представляет собой патологический процесс, который часто возникает как следствие хронического воспаления или других легочных заболеваний. В первую очередь, необходимо провести тщательную диагностику, чтобы определить степень поражения легочной ткани и сопутствующие заболевания. Рекомендую обратиться к пульмонологу для разработки индивидуального плана лечения, который может включать как медикаментозные, так и немедикаментозные методы.
Основным направлением терапии является устранение причины пневмофиброза. Если причиной послужило длительное воздействие вредных факторов, таких как курение или загрязнение воздуха, то необходимо минимизировать их влияние. Также может потребоваться назначение кортикостероидов, которые уменьшают воспаление, а в некоторых случаях — иммуносупрессоров для контроля аутоиммунных процессов. Важно следить за состоянием легочной функции, а также являться регулярным участником реабилитационных программ, которые помогают восстановить легочную активность.
Параллельно с медикаментозной терапией рекомендую обратить внимание на дыхательную гимнастику и занятия физической реабилитацией. Эти методы позволяют улучшить дыхательную функцию, увеличить объем легких и повысить общую выносливость организма. Не забывайте о важности сбалансированного питания и отказа от вредных привычек. Это поможет поддержать иммунную систему в борьбе с заболеванием и существенно улучшить качество жизни.
Классификация
- локальная форма. В легких наблюдается ограниченный участок уплотненной ткани. Эта форма не оказывает влияния на процессы газообмена и функционирование легких;
- диффузная форма. Легкие становятся уплотненными, уменьшаются в объеме, происходит изменение структуры, что значительно снижает их вентиляционные возможности. Пациенты отмечают характерные симптомы заболевания.
- сухой кашель или с выделением мокроты;
- одышка;
- общая слабость;
- потеря веса;
- боль в грудной клетке;
- постоянная усталость.
Методы диагностики
При первых признаках заболевания необходимо обратиться к пульмонологу для проведения комплексного обследования. В обязательном порядке больным назначается рентгенография грудной клетки, что дает возможность проанализировать состояние легких и исключить наличие опухолей. В качестве дополнительных методов исследования может применяться компьютерная томография, которая позволяет более детально рассмотреть легочную ткань. Лабораторные анализы включают цитологическое и гистологическое исследование биопсии легочной ткани.
Лечение на стадии бессимптомного течения практически не проводится, однако если данное состояние вызвано воспалительными процессами в дыхательных путях, то в терапии могут быть использованы антибиотики и противовоспалительные препараты, а также физиотерапевтические процедуры, способствующие улучшению выделения мокроты. В некоторых ситуациях может потребоваться хирургическое вмешательство, а при проявлениях дыхательной недостаточности применяется специальная терапия.
Диагностика и лечение пневмофиброза
Процесс диагностики заболеваний дыхательной системы начинается с первичного осмотра пациента, сбора жалоб, а также перкуссии и аускультации легких. Затем врач издает направление на инструментальные исследования, которые могут включать бронхоскопию, компьютерную томографию легких и рентгенографию органов грудной клетки в различных проекциях. Обычно этого достаточно для установки диагноза и выбора наиболее подходящей стратегии лечения.
Как лечить пневмофиброз? На сегодняшнее время широко применяется медикаментозное лечение, включающее в себя препараты, которые подбираются в зависимости от причины заболевания (антибиотики, противогрибковые, гормональные, цитостатики). Также не стоит забывать о симптоматическом лечении (отхаркивающие средства и муколитики). Только полное выполнение всех врачебных рекомендаций, общеукрепляющая терапия и ведение здорового образа жизни поможет достичь максимально положительного результата в лечении пневмофиброза легких. Записаться к специалистам нашей клиники и ознакомиться с отзывами об их работе вы можете на сайте нашего медицинского центра.
Терапия — при наличии показаний
— Какой пациент может заподозрить у себя наличие пневмофиброза?
НК:Это зависит от степени поражения легочной ткани. Небольшие очаги пневмофиброза часто не проявляют себя клинически. Однако если поражение обширное (от 25%), то у пациента может наблюдаться ухудшение переносимости физических нагрузок, развитие одышки, кашель, а также снижение уровня кислорода в крови. В таких случаях можно заподозрить заболевание и назначить КТ для подтверждения диагноза.
МК: Это можно заметить, когда во время прогулки или подъема по лестнице приходится делать перерывы, чтобы отдышаться.
— В какой стадии лучше всего начинать терапию против пневмофиброза?
НК: Лечение проводится при наличии соответствующих показаний. Если после оценки функции легких и выполнения КТ обнаруживается необходимость в терапии, то она обязательно будет назначена.
МК: Должны быть разработаны критерии оценки тяжести течения и поражения бронхо-лёгочной системы. И единый пошаговый подход, потому что часть пациентов после обследования будут лечиться амбулаторно, часть — в стационаре, а кто-то — смешанным образом.
Необходимо проводить специфическую профилактику в отношении выброса гиалуроновой кислоты в бронхолегочную систему. Назначают медикаменты, замедляющие этот процесс, чтобы предотвратить образование новых заболеваний в легких. В России существуют такие препараты.
Исследования продемонстрировали, что применение противофиброзного средства (например, бовгиалуронидазы азоксимера) оказывает замедляющее действие, препятствуя прогрессированию заболевания к более тяжелой форме пневмофиброза. Этот медикамент применяется как для лечения, так и для профилактики пневмофиброза.
Я уверен, что в скоро будущем, вероятно, появятся новые российские рекомендации, которые укажут, какие методы и препараты стоит использовать при пневмофиброзе с повышенным риском его развития. Но пока будет поддерживаться процесс разработки новых методов, мы не оставим пациентов без помощи: будем использовать те подходы, что известны и которые могут оказать положительное воздействие на восстановление легочной ткани.

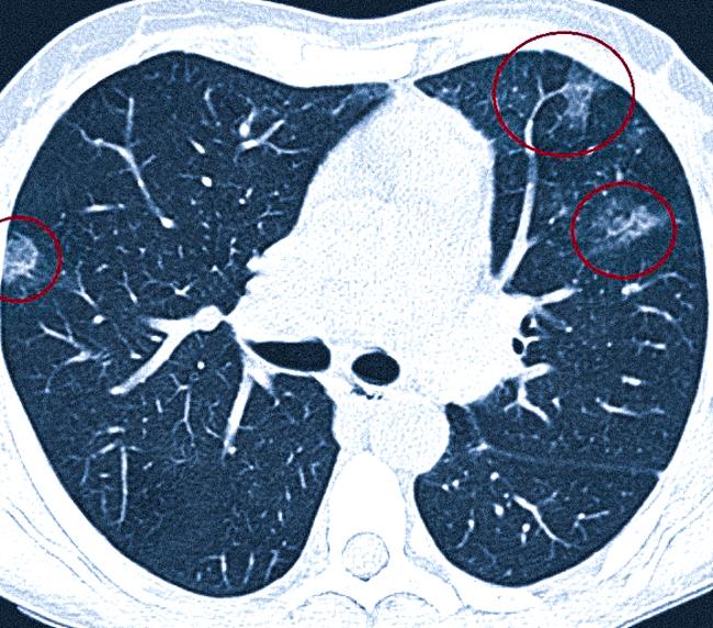
Видно ли пневмофиброз на КТ легких
Компьютерная томография является золотым стандартом в диагностике пневмофиброза. Данное исследование позволяет с высокой вероятностью выявить рубцовые изменения, определить точное положение, размеры, форму и прочие характеристики. КТ основано на применение рентгеновского излучения для создания черно-белых изображений изучаемой области, на которых участки различной плотности отражены изменением интенсивности затенения.
Если возникли тревожные симптомы, следует обратиться за медицинской помощью. Врач проведет обследование и выдаст направление на исследование. Процедуру можно пройти в клинике «Магнит», расположенной рядом со станцией метро «Технологический институт».

На КТ легких при пневмофиброзе видно изменения, которые появились после лучевой терапии.
Перед проведением диагностики с пациентом обсуждают противопоказания:
- беременность;
- вес больше 150 кг.
Для более четкой визуализации изменений проводят КТ с введением контрастного препарата. Вещество распространяется по кровотоку, на снимках меняется интенсивность изображения некоторых структур. Данная процедура не проводится:
- наличие аллергии на йод;
- гиперфункция щитовидной железы;
- лечение метформином;
- высокий уровень креатинина в крови;
- лактация.
КТ признаки пневмофиброзных изменений в легких
Компьютерная томография помогает выявить мельчайшие рубцы, образующиеся в области воспалений после их заживления. Такие образования могут встречаться после оперативных вмешательств.
На определенных стадиях фиброза можно наблюдать изменения, напоминающие «матовое стекло» в тех участках легочной ткани, где плотность повышена. Эти участки выглядят светлее по сравнению со здоровыми, так как с трудом пропускают рентгеновские лучи.
При широком распространении фиброза можно наблюдать «сотовое легкое», когда множественные кистозные полости располагаются в ряд. Эти полости заполнены воздухом, а их стенки значительно толще, чем нормальные межальвеолярные перегородки. Гистологическое исследование показывает, что данная структура состоит из соединительных тканей.
Есть наблюдения о прогрессии периферического интерстиция.
Нормальная структура легочных ацинусов подвергается значительным изменениям. Пораженные участки не могут выполнять свои функции и исключаются из процессов газообмена.
Изменения могут наблюдаться в пределах одного легкого или распространяться на обе стороны. Если фиброз локализован в пределах единичного сегмента дыхательной паренхимы, патологию называют очаговой. При распространении соединительной ткани в разных долях обоих легких диагностируют диффузный процесс. Чем больше процент поражения, тем серьезнее клиническая картина и хуже прогноз.
Фиброз является процессом, который нельзя обратить назад; восстановление нормальной структуры легочной ткани невозможно. Тем не менее, лечение может замедлить прогрессирование болезни.

Изменения в легочной ткани, характеризующиеся «матовым стеклом».
Причины и факторы риска интерстициального пневмофиброза
Интерстициальный пневмофиброз может развиваться у людей любого возраста, но наибольшую предрасположенность имеют пожилые люди.
Нет точного четкого ответа на то, что вызывает диффузный интерстициальный пневмофиброз, но зафиксированы некоторые располагающие факторы. Это:
- генетическая предрасположенность;
- влияние определенных лекарств или медицинских процедур, таких как химио- или лучевая терапия;
- воздействие токсичных веществ, пагубно влияющих на легкие (включая курение, которое может не только активировать интерстициальный пневмофиброз, но и усугубить его течение — по этой причине всем пациентам настоятельно рекомендуется бросить курить);
- аутоиммунные заболевания, например, саркоидоз или ревматоидный артрит.
К сожалению, в большинстве случаев, таких как идиопатический легочный фиброз, причины остаются неясными.
Симптомы интерстициального пневмофиброза
Одышка — это самый распространенный симптом диффузного интерстициального пневмофиброза. Часто отмечается сухой кашель, дискомфорт в области груди, усталость и иногда потеря в весе. В большинстве случаев к моменту появления симптомов уже происходит повреждение легких, поэтому нужно срочно обращаться к врачу. Если не лечить заболевание, могут развиться угрожающие жизни осложнения, такие как высокая артериальная гипертензия или недостаточность сердца и дыхательной системы.
Для диагностики интерстициального пневмофиброза врач может назначить рентгенографию грудной клетки или компьютерную томографию. Функциональные тесты легких могут использоваться для измерения снижения общей легочной емкости. В более сложных случаях могут потребоваться более инвазивные процедуры, такие как бронхоскопия или биопсия легкого, чтобы уточнить тип интерстициального заболевания.
Типы легочного фиброза
Существует несколько разновидностей легочного фиброза, среди которых:
- поствоспалительный фиброз легочной ткани — это состояние, связанное с негативными последствиями крупозной пневмонии или аномальным процессом восстановления после вирусной, микоплазматической или аллергической пневмонии;
- идиопатический фиброз легких — это состоит из идиопатической интерстициальной пневмонии.
Причины фиброза легких
Существуют различные причины, способствующие возникновению и прогрессированию фиброза легких. Наиболее значимые из них:
- долгосрочное воздействие загрязняющих веществ (в основном это кремнеземная пыль, зерновая пыль, волокна асбеста, а также птичьи и животные экскременты);
- проведение лучевой терапии при лечении онкологических заболеваний;
- употребление некоторых медикаментов (включая определенные антибиотики и препараты, применяемые в химиотерапии или для терапии сердечно-сосудистых заболеваний);
- значительное злоупотребление табаком;
- рапорт заболеваний органов дыхания (например, пневмония, туберкулез, красная волчанка, саркоидоз, ревматоидный артрит, склеродермия).
После перенесенного Covid-19, в стационарных выписках часто значится диагноз «Пневмофиброз». Что же это такое и чем это опасно?
Пневмофиброз характеризуется наличием участков фиброза и склерозирования лёгочной ткани, где легкие ткани заменены соединительной. Это по сути «склеенные» альвеолы, которые потеряли свою изначальную функцию газообмена. В легких ситуациях данный фиброз может не проявляться, однако, если он охватывает более 30% легочной ткани, у пациента появляются симптомы, такие как одышка и кашель.
При тяжёлой и прогрессирующей форме фиброза есть риск инвалидности. Обычно постковидный фиброз не усугубляется. Поэтому людям, перенесшим COVID с значительным поражением легких, важно сосредоточиться на увеличении функционального объема своих легких. Как это можно сделать? Посредством плавания, легкого бега, а также спортивной и скандинавской ходьбы.
Иными словами, необходимы аэробные физические нагрузки. Также полезны занятия в санаториях и прогулки в сосновых лесах. В течение первого года после перенесенного COVID имеются возможности для уменьшения изменений в легочной ткани. Эти сведения основаны на клинических наблюдениях за пациентами после перенесенной ковидной пневмонии.
Ну а если Вас всё же беспокоит одышка, рекомендуем обратиться к пульмонологу.
Опыт других людей
Анна, 34 года: «Я узнала о линейном пневмофиброзе легких, когда после простуды стала жаловаться на постоянную одышку. Врач назначил мне курс противовоспалительных препаратов и физиотерапию. Также я начала заниматься дыхательной гимнастикой. Очень помогли занятия с физиотерапевтом, который подобрал упражнения, подходящие именно для моего состояния. Регулярные контрольные обследования позволили отслеживать динамику заболевания и корректировать лечение. Я старалась больше времени проводить на свежем воздухе и избегать контакта с аллергенами.»
Сергей, 45 лет: «У меня диагностировали линейный пневмофиброз после долгого курения. Лечение началось с отказа от курения и назначения бронхорасширяющих средств. Врач рекомендовал мне делать ингаляции и заниматься дыхательной гимнастикой. Я также стал посещать сеансы кислородной терапии. Важно соблюдать постоянство в лечении и не пренебрегать рекомендациями врача, так как состояние может ухудшаться без должного контроля.»
Елена, 51 год: «У меня линейный пневмофиброз развился на фоне старого пневмонии. Мой врач назначил курс антибиотиков и противовоспалительных препаратов. Я начала больше внимания уделять своему питанию, включив в него много овощей и фруктов. Теперь стараюсь регулярно приходить на контрольные осмотры и выполнять рекомендации врача по физической активности. Каждое утро я делаю зарядку и заканчиваю её дыхательными упражнениями, что очень помогает мне чувствовать себя лучше.»
Вопросы по теме
Какова роль дыхательной гимнастики в лечении линейного пневмофиброза легких?
Дыхательная гимнастика играет важную роль в лечении линейного пневмофиброза легких. Она помогает улучшить вентиляцию легких, увеличивает объем легких и способствует более эффективному обмену oxygen. Регулярные занятия могут помочь уменьшить одышку и повысить качество жизни пациентов. Важно, чтобы гимнастика проводилась под наблюдением врача или специалиста по реабилитации легких, чтобы избежать переутомления и создать индивидуальную программу.
Можно ли вылечить линейный пневмофиброз легких полностью, и какие методы наиболее эффективны?
Полное излечение линейного пневмофиброза легких, к сожалению, невозможно, поскольку это заболевание представляет собой необратимый процесс. Однако, ранняя диагностика и комплексный подход к лечению могут значительно замедлить прогрессирование болезни и улучшить общее состояние пациента. Методы, такие как медикаментозная терапия (глюкокортикостероиды, иммуносупрессоры), а также физиотерапия и дыхательная гимнастика, эффективны в управлении симптомами и улучшении качества жизни. В некоторых случаях может потребоваться применение кислорода или даже трансплантация легких.
Влияет ли питание на процесс лечения линейного пневмофиброза легких?
Да, питание может оказать значительное влияние на процесс лечения линейного пневмофиброза легких. Правильный рацион, богатый антиоксидантами, витаминами (особенно В, С и Е) и минералами, поможет укрепить иммунную систему и поддержать общее состояние здоровья. Избегание продуктов с высоким содержанием насыщенных жиров и сахаров также рекомендовано, так как это может снизить воспалительные процессы в организме. Кроме того, поддержание оптимального веса и употребление достаточного количества жидкости способствуют улучшению функции легких.
