Застойные явления в легких, выявленные на рентгене, обычно свидетельствуют о нарушении оттока крови или жидкости в легочной системе. Лечение таких состояний зависит от их причины и может включать медикаментозную терапию, такую как диуретики, антиоксиданты и препараты, улучшающие микроциркуляцию. В некоторых случаях может потребоваться кислородотерапия для улучшения дыхательной функции.
Помимо медикаментов, важным аспектом является изменение образа жизни, включая контроль веса, отказ от курения и соблюдение режима физической активности. Также хорошо помогают физиотерапевтические процедуры, направленные на улучшение вентиляции легких и укрепление дыхательной мускулатуры. Однако, лечение должно проводиться под контролем врача, который назначит необходимые исследования и определит оптимальную тактику терапии.
- Определение: Застойные явления в легких – это накопление жидкости в легочной ткани, часто связанное с сердечной недостаточностью.
- Диагностика: Рентгенография органов грудной клетки помогает выявить наличие жидкости и степень застоя.
- Лечение: Основное лечение включает препараты диуретики для уменьшения отека легких и улучшения дыхания.
- Дополнительные меры: Симптоматическое лечение, кислородотерапия и реабилитационные мероприятия помогают улучшить качество жизни пациента.
- Профилактика: Своевременное лечение сердечно-сосудистых заболеваний и контроль артериального давления.
Застойное легкое
Застойное легкое, известное также как венозное полнокровие легких, проявляется затруднением венозного оттока и избыточным накоплением крови в легких. Этот синдром можно наблюдать при недостаточной функции левого желудочка, вызванной изменениями в миокарде или декомпенсацией аортальных заболеваний, что приводит к повышенному диастолическому давлению в желудочке. Также это состояние может возникать при патологиях митрального клапана, мешающих нормальному кровообращению через левое атриовентрикулярное отверстие.
Когда митральный порок сердца сопутствует стенозу, чрезмерное давление в левом предсердии, в сочетании с силой тяжести, приводит к увеличению давления в венах нижних долей легких на 10-15 мм вод. ст., по сравнению с верхними отделами. Это создает спазм венозных стенок и, как следствие, прекапиллярных артерий.
Таким образом, передача повышенного венозного давления из легочных вен в артериальную систему переносит нагрузку на правый желудочек, который может более эффективно компенсировать гемодинамические нарушения, предотвращая развитие острого альвеолярного отека.
При недостаточности левого желудочка, когда в результате его дилатации развивается относительная недостаточность митрального клапана, патогенез застойного полнокровия легких аналогичен таковому при стенозе левого предсердно-желудочкового отверстия, хотя венозная гипертензия в этих случаях никогда не достигает уровня, который имеет место при недостаточности митрального клапана. В обоих основных вариантах застойного легкого при выраженной легочной гипертензии, когда давление в капиллярах возрастает, а проницаемость их стенок в условиях нарушенной микроциркуляции и тканевой дистрофии увеличивается, транссудация из капилляров увеличивается и лимфатическая сеть в этих условиях не успевает всасывать отечную жидкость. Последняя накапливается как в строме легкого, так и в бронхиолах и альвеолах. Отечные легкие теряют свою эластичность, нарушаются механика дыхания и дренажная функция, что усугубляет лимфостаз и поддерживает хроническую капиллярную гипертензию. Длительно существующее венозное полнокровие легких неизбежно приводит к разрастанию соединительной ткани (кардиогенный или застойный пневмосклероз), макроскопически на секции имеет место бурая индурация вследствие накопления железа в легочной ткани (гемосидероз).
Ключевыми симптомами застойного полнокровия легких являются стойкая одышка и снижение физической нагрузки у пациентов с митральной недостаточностью, аневризмой сердца или после инфаркта миокарда. Физикальное обследование показывает укорочение перкуторного тона над легкими, особенно в нижних и задних областях, а также ограничение подвижности диафрагмы, жесткое дыхание и влажные хрипы в основном в нижних отделах легких сзади.
Также могут быть слышны и сухие хрипы, как низкого, так и высокого тембра, которые обусловлены вязкой мокротой и обструкцией из-за утолщения стенок мелких бронхов при интерстициальном отеке. Эти изменения в бронхах характерны для застойного бронхита, когда застой легочной крови влияет на бронхиальные сосуды.
Кашель с трудноотделяемой мокротой, содержащей прожилки крови, называется «кровохарканьем». При микроскопическом исследовании такой мокроты обнаруживаются «клетки сердечных пороков» — альвеолярные макрофаги с гемосидерином. Этот симптом является выраженным признаком застойного легкого. При перкуссии и рентгенографическом исследовании сердца можно выявить как митральную, так и аортальную конфигурацию, причем у некоторых пациентов постепенно сглаживается талия сердца из-за увеличения ушка левого предсердия и конуса легочной артерии. Аускультация также может выявить шумы, характерные для митральных или аортальных пороков, и для более точной диагностики могут использоваться электрокардиографические и фонокардиографические исследования, а также катетеризация сердца с измерением внутриполостного давления. Со стороны других органов может наблюдаться сердечная декомпенсация с увеличением печени, ее округленным краем и болезненностью при пальпации, пастозностью нижних конечностей и в тяжелых случаях асцитом или анасаркой; олигурия также является характерной; анализы мочи могут показать протеинурию, а иногда и микрогематурию или гиалиновые цилиндры.
Рентгенография легких имеет важное значение для диагностики. Существует прямая связь между уровнем легочной артериальной гипертензии и показателями сосудистого сопротивления в легких. При давлении в легочной артерии выше 70 мм рт. ст. наблюдается расширение основного ствола легочной артерии, что хорошо видно на рентгенограмме.
В то же время мелкие периферические ответвления остаются (на рентгенограмме) суженными, что характерно для легочной гипертензии, хотя и не является ранним признаком ее. При аневризме левого желудочка на рентгенограммах характерно расширение вен в верхних долях, в то время как нижние и средние доли (появление застоя в них более характерно для декомпенсированного митрального порока) очень часто оказываются скрытыми тенью дилатированного правого желудочка или плевральным экссудатом.
При рентгенологическом исследовании главный ствол легочной артерии и её средние ветви расширены, что создает характерную картину застойного легкого. Лечение сердечной недостаточности (с применением сердечных гликозидов, диуретиков и пр.) обычно приводит к уменьшению симптомов застоя в легких, что имеет значение для дифференциальной диагностики.
Легочная венозная гипертензия может проходить бессимптомно. Однако оценка условий её развития и функциональных характеристик системы внешнего дыхания помогает вDiagnosistsции. В таких случаях легкие теряют свою эластичность, что увеличивает потребление энергии на дыхание и приводит к усилению одышки даже при легкой физической активности.
Насыщение артериальной крови кислородом или остается прежним, или значительно снижается. Интерстициальный отек легочной ткани сравнительно рано проявляется рентгенологически так называемыми легочно-диафрагмальными линиями Керли, отчетливо видимыми в нижних зонах. Толщина их — 0,5-1 мм. Указанные линии характерны для повышения венозного и капиллярного давления.
Существует тесная корреляция между видимостью линий Керли и уровнем венозной гипертензии (при капиллярном давлении ниже 2,66 кПа (20 мм рт. ст.) они не наблюдаются). Их наличие является неблагоприятным прогностическим признаком, так как даже небольшая физическая нагрузка может привести к переходу отека стромы легкого в альвеолярный отек (на рентгенограмме это проявляется затенением средней и нижних долей легких, что напоминает раскрытые «крылья летучей мыши») с последующей острой недостаточностью левого желудочка, а также сердечной астмой и легочными отеками. Спирографическое обследование таких пациентов показывает преимущественно ограничительные нарушения вентиляции легких. Гипоксемия, как признак неравномерной вентиляции легких, также может наблюдаться, при этом уровень углекислоты в артериальной крови обычно остается нормальным или даже снижен из-за гипервентиляции.
Лечение
Прогноз застойного полнокровия легких зависит от возможностей хирургической коррекции причин венозного полнокровия легких и результатов. Наличие стойких линий Керли на рентгенограмме свидетельствует об интерстициальной фазе застойного полнокровия легких и предвещает возможность перехода в последующую жизнеопасную фазу — альвеолярную, которая обычно провоцируется физической нагрузкой, повышением артериального давления и др.
Наиболее эффективным лечением для пациентов с застойным полнокровием легких является адекватное хирургическое вмешательство по исправлению порока (вальвулотомия или установка протезов клапанов), совмещенное с терапией сердечной недостаточности (сердечные гликозиды, диуретики, антикоагулянты и др.).
Оценка трудоспособности
Существование устойчивого венозного полнокровия легких является основанием для оценки трудоспособности и определения степени инвалидности.
Застойные явления в легких, выявленные на рентгенограмме, требуют комплексного подхода к лечению. В первую очередь, необходимо определить первопричину этих изменений. Часто застой связан с сердечной недостаточностью или другими кардиологическими проблемами. В таких случаях основное внимание следует уделить коррекции состояния сердечно-сосудистой системы, что может включать в себя назначения диуретиков для уменьшения отечности и улучшения функционального состояния сердца.
Также важно рассмотреть использование дыхательной гимнастики и лечебной физкультуры. Эти методы помогают улучшить вентиляцию легких и способствуют рассасыванию экссудата. В некоторых случаях могут быть рекомендованы бронхолитики или ингаляционные препараты для улучшения проходимости дыхательных путей. Регулярные занятия физической активностью способствуют укреплению дыхательной мускулатуры и улучшению общей оксигенации тканей.
Не менее значимым аспектом лечения является нутриционное обеспечение пациента. Правильное питание, богатое витаминами и минералами, способствует восстановлению функций органов дыхания. При необходимости могут применяться препараты для укрепления иммунной системы. Важно помнить, что каждый случай индивидуален, и план лечения должен разрабатываться с учетом всех сопутствующих заболеваний и функционального статуса пациента.
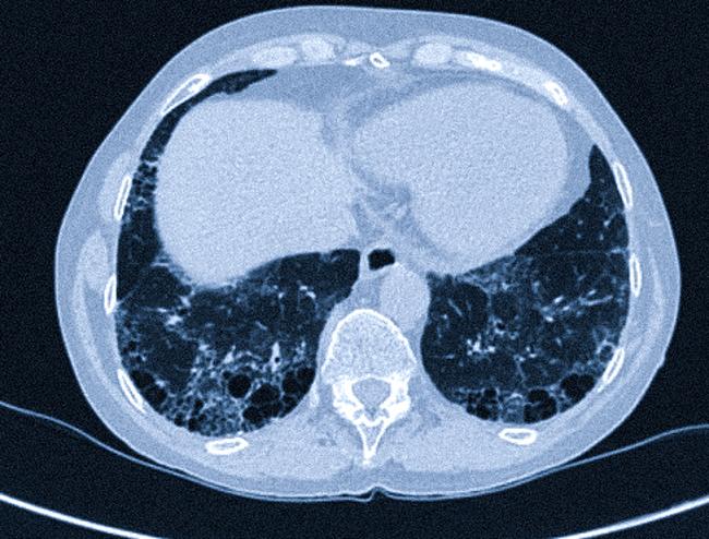
Признаки застойной пневмонии на КТ
Компьютерная томография — метод многослойной визуализации внутренних органов. В результате сканирования врач получает фотографии поперечных срезов грудной клетки. На снимках светлые участки соответствуют плотным структурам, мягкие ткани дают гиподенсный сигнал.

КТ-изображения легких в разных проекциях (фронтальная, сагиттальная, аксиальная)
С помощью специализированного программного обеспечения врач может восстановить как прямые, так и боковые проекции, а при необходимости – создать трехмерную модель органов грудной клетки.
Гипостатическое воспаление легких протекает в три стадии. Каждая фаза имеет отличительные рентген-признаки.
Начальный этап проявляется венозной гиперемией легочной ткани, что сопровождается увеличением диаметра и длины капилляров, а также сжатием альвеол. На томограммах в первой фазе профиль легких будет более выраженным с уменьшением пневматизации паренхимы.
На второй стадии наблюдается просачивание транссудата из сосудов в альвеолы и интерстиций. На КТ выявляются признаки бронхо- или паренхиматозной пневмонии:
- очаги консолидации;
- симптом «матового стекла»;
- разветвленные структуры (симптом «дерева в почках»);
- ретикулярные изменения;
- выпот в плевральной полости.
В третьей фазе развивается отек легкого с последующим разрастанием фиброзной ткани. На томограммах видно утолщение межальвеолярных перегородок, дающее картину хаотичной исчерченности. Снижается пневматизация паренхимы. Характерным симптомом фиброзных изменений является «сотовое легкое».
Гипостатические изменения в легких на КТ опасно ли
Застойная пневмония проходит тяжело и часто приводит к осложнениям. Гипостатические изменения чаще всего развиваются у ослабленных пациентов. Сопутствующие заболевания усугубляют течение воспалительного процесса, значительно ухудшая состояние больного.
При дыхательной недостаточности у пациентов выявляются признаки гипоксии:
- затруднения в сознании;
- усиливающаяся одышка;
- цианоз кожных покровов;
- нарушения сердечного ритма и т.д.
Особую опасность представляют острые респираторные дистресс-синдромы (ОРДС) у пациентов с гипостатическими изменениями легочной ткани, так как они характеризуются быстро прогрессирующей дыхательной недостаточностью.
На фоне застойной пневмонии развивается экссудативный плеврит. Пациент жалуется на боль, тяжесть в области грудной клетки.
В финальной стадии заболевания гипостатические изменения приводят к замещению легочной паренхимы фиброзной тканью, что негативно сказывается на газообменной функции альвеол. Широкое поражение легких часто вызывает летальный исход.

Симптом «матового стекла»
Диагностика гипостатической пневмонии на ранней стадии значительно повышает шансы больного на выздоровление. Лечение состоит из двух этапов. В первую очередь проводят этиологическую терапию, цель которой — воздействие на причину развития застойных явлений.
На втором этапе лечения важным является устранение симптоматики воспалительного процесса. Симптоматическая терапия включает:
- муколитические препараты;
- кислородную терапию;
- антибактериальные средства;
- общие укрепляющие средства и многое другое.
С целью предотвращения осложнений и сглаживания существующих симптомов проводится реабилитация пациента.
Двусторонняя застойная пневмония
Мы тщательно следим за качеством наших описаний, а наши врачи проходят четыре этапа отбора, прежде чем приступить к работе. Ваш случай опишет эксперт именно в той области, которая требуется.
Закажите расшифровку снимков от 1500 ₽
Заключение/второе мнение: периферический венозный застой в малом круге кровообращения с отеком легких. Двухсторонняя застойная пневмония. Эмфизема легких. Диффузный пневмосклероз. Увеличение левого желудочка.
Атеросклероз аорты.
Основные изображения:
Подробнее:
В легких наблюдается неравномерное усиление венозного кровоснабжения, преимущественно по мелким сосудам, что сопровождается диффузной инфильтрацией периваскулярной и перибронхиальной зоны. Выявляют интерстициальную инфильтрацию в среднем и нижнем сегментах правого легкого, а В прикорневой зоне и нижнем сегменте левого легкого.
Участки инфильтрации легочной ткани наблюдаются в прикорневых и нижних областях правого легкого. Также определяется эмфизема легких и диффузный пневмосклероз. Корни легких инфильтрированы и расширены. Левый синус завуалирован. Сердце имеет аортальную форму и увеличенный левый желудочек.
Аорта склерозированная.
Удаленная консультация, интерпретация медицинских снимков, второе мнение — эти услуги носят информационный характер и не являются медицинскими.
Для получения точного диагноза и выработки плана терапии необходимо записаться на личный прием к врачу.
Как проходит лечение

Схема медикаментозного воздействия определяется в частном порядке.
Ключевая стратегия борьбы с застоем в легких заключается в лечении основного заболевания, особенно если речь идет о сердечно-сосудистых недугах. Этот процесс может затянуться и потребовать множества лечебных процедур.
Для терапии застойных явлений в легких, связанных с сердечно-сосудистыми проблемами, используется целый ряд медикаментов в рамках комплексного лечения:
| Методы лечения застойных явлений в легких | |
| Препараты | Действие |
| Петлевые диуретики | Данный ряд препаратов позволяет снизить общее количество физиологических жидкостей в организме, что снижает нагрузку на сердечную мышцу и стенки сосудов. Результатом применения становится не только облегчение кровообращения, но и снижение количества жидкости в легочной полости. |
| Бета-блокаторы | Позволяют снизить частоту сердечных сокращений, повысить сопротивляемость сосудов к растяжению и увеличить тонус в легочной системе. В результате применения улучшается общее состояние кровеносной системы и происходит очищение альвеолярной части легких. |
| Препараты нитратного ряда | Эти средства позволяют снизить общую нагрузку на сердце при повреждениях миокарда и ишемической болезни, а также снижают общесистемную потребность организма в кислороде. Это позволяет нивелировать кислородную недостаточность. |
| Ингибиторы АПФ | Этот ряд медикаментов используется при проявлениях сердечной и почечной недостаточности, а также как гипотензивное средство, что позволяет снизить нагрузку на сосуды и предотвратить наполнение легочных альвеол плазмой крови. |
В случае обширных повреждений альвеол и содержания в экссудате крови могут дополнительно применять ингаляции препаратов «пеногасителей» (спирт 70%).

Использование массажа.
Если причиной заболевания является недостаток физической активности из-за неподвижного состояния пациента, можно применять такие физиотерапевтические процедуры:
- Процедуры массажа верхней части туловища (на фото). Вакуумные техники массирования способствуют постепенной очистке легочной области от жидкости. Эффективность данной методики ЛФК объясняется тем, что вибрация вызывает рефлекторное отделение мокроты из бронхов и альвеол легких.
- Согласно рекомендациям, важно регулярно менять положение пациента в постели. Приемлемо Вставать и находиться в сидячем положении, если состояние пациента это позволяет. Это поможет улучшить кровообращение и ускорить восстановление легочной функции.
- Если пациент в бессознательном состоянии, требуется дополнительный уход с регулярным изменением положения верхней части кровати. Это создаст дополнительную нагрузку на диафрагму и активизирует кровоток в легких.
Важно! Если у пациента наблюдается острая степень кислородной недостаточности, основное лечение могут дополнить подачей дополнительного кислорода посредством маски или катетера. В тяжелом состоянии лечащий специалист может назначать подключение аппарата искусственного дыхания.
Перспективы восстановления дыхательной функции зависят от множества обстоятельств и, как правило, зависят от динамики основного заболевания.
Профилактические меры

Частая смена положения для пациентов, которые много лежат.
Для того чтобы избежать развития застойных легочных процессов пациентам, которые длительно находятся на постельном режиме лечения необходимо совершать максимум доступных движений и прибегать к физической нагрузке (ЛФК).
Основные правила профилактики включает в себя:
Если пациент не может выполнять физические упражнения и передвигаться, необходима помощь медицинского персонала. Для предотвращения начальной стадии застоев нужно применять физиотерапевтические методики, например, ЛФК, что включает в себя физическую активность.

Соблюдение диеты.
Профилактикой для лиц с возможностью активного образа жизни является:
- Отказ от потребления алкоголя и табака, а также других вредных привычек.
- Следование принципам правильного питания, что подразумевает уменьшение в рационе жирной пищи и потребление большего количества овощей.
- Своевременная терапия заболеваний, особенно тех, которые затрагивают дыхательную и сердечно-сосудистую системы.
- Регулярные медицинские осмотры для выявления нарушений работы внутренних органов и их потенциальных причин.
- Занятия физической активностью, прежде всего, укрепляющей.
- Частые прогулки на свежем воздухе для обеспечения легким регулярной нагрузки.
Независимо от причин возникновения застойных процессов в легких, основные симптомы имеют схожие проявления. Без профессиональной помощи такие состояния могут прогрессировать до эмфиземы или булл, что приводит к серьезным осложнениям и затяжному лечению.
Профилактические мероприятия для пациентов, находящихся в лежащем состоянии, являются важным способом сохранения и восстановления функций дыхательной системы по сравнению с лечением застоя в легких.
Народная медицина
В ряде случаев допускается применение нетрадиционной медицины. Однако не стоит уповать только на травы и отвары. Использование средств народной медицины позволительно только в комплексе с основным лечением, под бдительным контролем лечащего врача.
Принимаемые народные методы:
- Использование лечебных трав.
- Гимнастические упражнения.
- Различные виды массажа.
Легочная гимнастика и массаж полезны для людей с ограниченной подвижностью и лежачих больных. Рекомендуется чаще менять позу тела, а если вставать нельзя, то как минимум, периодически сидеть (при отсутствии медицинских противопоказаний).
Отвары и настои из трав применяют только после консультации с врачом. Они должны оказывать противовоспалительное действие, а также облегчать процесс отхаркивания. Среди популярных ингредиентов выделяют: липу, чабрец, ромашку, калину, календулу, шалфей и другие. Важно убедиться в отсутствии аллергии на лечебные травы и только после этого рассматривать возможность их применения в лечении.
Профилактика заболевания
Застойные явления и отеки — это сигналы организма о возможных серьезных проблемах со здоровьем. Врачи настоятельно рекомендуют не игнорировать настораживающие симптомы, вовремя проходить обследования и следовать указаниям специалистов. Эти меры профилактики считаются основными для большинства заболеваний человека.

К другим профилактическим мерам можно отнести:
- Регулярная физическая активность. Следует избегать длительного сидения или лежания, часто гулять и разминавать шею. Это способствует улучшению кровообращения и снижению риска возникновения застойных явлений.
- Беречь себя, избегать травм и опасных ситуаций, а также снижать уровень стресса в жизни. Резкие изменения температуры также негативно влияют на работу легких и сердца.
- Правильное питание — привить себе привычку следить за рационом. Избыточный вес создает дополнительные отеки и увеличивает нагрузку на сердце. Внимание к состоянию своего здоровья позволит поддерживать его в хорошем состоянии.
- Отказ от вредных привычек. Курение и алкоголь ведут к повреждениям и сбоям в работе организма.
Врачи настоятельно рекомендуют начинать заботиться о своем здоровье с раннего возраста, что поможет уменьшить риск развития серьезных заболеваний в будущем.
Хирургическое лечение застойной пневмонии
В тяжелых случаях, когда пожилой больной лежит почти без движения и ему трудно дышать, застойная пневмония лечится с трудом. Для облегчения страданий пациента врачи могут назначить прокол грудной клетки, чтобы откачать скопившуюся в легких жидкость. Естественно, что такую мини-операцию проводят под общим наркозом в стационаре.
Предотвратить болезнь всегда проще, чем лечить ее. Но возможно ли избежать пневмонии? Оказывается, есть множество простых методов для профилактики этого недуга.
Профилактика развития застойной пневмонии у пожилых людей
Застойная пневмония у пожилых людей возникает обычно в результате других заболеваний, поэтому пожилым следует придерживаться следующих рекомендаций для профилактики этого опасного недуга:
- Держать ноги в тепле, носить соответствующую погоде и качественную обувь. Если ноги промокли или замерзли, дома нужно сделать горячую ножную ванну с добавлением горчицы.
- Чаще и в любую погоду гулять, одеваясь по погоде. Прогулки насыщают организм кислородом и поддерживают его в здоровом состоянии.
- Регулярно и полноценно отдыхать, избегать стресса.
- Избавиться от вредных привычек.
- Правильно питаться, употреблять в пищу продукты, богатые витаминами и минералами (в частности, цинком, который содержится в красной рыбе, мясе и бобовых).
- Людям с аллергией необходимо стараться избегать аллергенов.
- Во время эпидемий гриппа пожилым людям можно пройти вакцинацию.
- Для профилактики застойной пневмонии у лежачих пожилых пациентов полезно также проводить такие мероприятия:
- изменять положение тела больного несколько раз в день;
- осуществлять «постукивающий» массаж грудной клетки (за исключением области сердца) и спины;
- ставить горчичники и банки;
- следить за выполнением физических упражнений и дыхательной гимнастики (как минимум — выполнять повороты, движения руками и ногами, надувать воздушные шары);
- регулярно проводить уборку и проветривание помещения, где находится заболевший пожилой человек;
- устраивать увлажнение воздуха в комнате всеми доступными способами.
Застойная пневмония у пожилых людей в большинстве случаев успешно излечивается, и пациенты полностью восстанавливают свое здоровье, но картина лечения во многом зависит от своевременности обращения больного за врачебной помощью.
Опыт других людей
Мария, 34 года, домохозяйка: «Когда у моего мужа после простуды на рентгене выявили застойные явления в легких, мы очень переживали. Врач назначил ему комплексное лечение: антибиотики, отхаркивающие средства и физиотерапию. Мы также начали делать ингаляции с солевыми растворами. Через пару недель рентген показал улучшения, и врач сказал, что все идет в правильном направлении. Очень важно было следить за влажностью в квартире и избегать сырости, чтобы не ухудшить состояние.»
Игорь, 42 года, водитель: «У меня застойные явления в легких обнаружили на медосмотре. Сначала я не придавал этому значения, но врач настоял на лечении. Я стал пить много жидкости и переходить на лёгкую диету. Кроме того, мне назначили несколько процедур бронхолегочной реабилитации. Самое главное — это регулярно проходить контрольные обследования, чтобы следить за состоянием легких. Я был рад, что своевременно предпринял меры и теперь чувствую себя гораздо лучше.»
Анастасия, 29 лет, менеджер по продажам: «У меня был случай, когда коллега вернулся с работы, сильно кашлял, и на рентгене у него нашли застойные явления. Мы все были напуганы: как такое может быть? Его лечили в стационаре, назначили антибиотики и обильное питье. Он также делал специальные упражнения для дыхания, которые преподавали физиотерапевты. Со временем состояние улучшилось, и он вернулся к нормальной жизни. Я поняла, как важно заботиться о здоровье и не игнорировать такие симптомы.»
Вопросы по теме
Какое влияние на застойные явления в легких может оказать изменение климата?
Изменение климата может влиять на застойные явления в легких через различные механизмы. Например, повышение температуры и ухудшение качества воздуха могут увеличить количество аллергенов и загрязняющих веществ. Это может усугубить дыхательные проблемы и привести к ухудшению состояния пациентов с застойным бронхитом или сердечной недостаточностью. Кроме того, перемены в погоде могут воздействовать на иммунную систему, делая организм более уязвимым к инфекциям, что также может негативно сказаться на легких.
Как правильно оценить необходимость рентгенографии для диагностики застойных явлений?
Рентгенография является важным инструментом для диагностики застойных явлений в легких, однако решение о проведении этого исследования должно приниматься врачом на основе клинических проявлений и анамнеза пациента. Если у пациента есть хронический кашель, одышка или подозрение на сердечную недостаточность, рентген может помочь подтвердить или исключить наличие застойных явлений. Важно, чтобы пациент обсудил все симптомы и истории заболеваний с врачом, чтобы совместно определить целесообразность рентгенографического исследования.
Какие альтернативные методы лечения могут помочь при застойных явлениях в легких?
Помимо традиционного медикаментозного лечения, существуют альтернативные методы, которые могут быть полезны при застойных явлениях в легких. Например, дыхательная гимнастика и физические упражнения могут поспособствовать улучшению вентиляции легких и оттоку жидкости. Физиотерапия, такая как дренажный массаж или ингаляции с солевыми растворами, также может облегчить состояние пациента. Однако эти методы должны использоваться только в комплексе с основным лечением и под контролем врача.
