Лечить остеому ребра в большинстве случаев можно консервативно, если она не вызывает значительного дискомфорта или осложнений. В таких ситуациях может быть рекомендовано наблюдение, так как остеомы часто не требуют активного вмешательства.
Если остеома вызывает боль или другие симптомы, целесообразно рассмотреть хирургическое удаление новообразования. Решение о необходимости операции принимает врач на основании клинической картины и результатов обследования.
- Остеомы ребра — доброкачественные опухоли, требующие лечения только при наличии симптомов.
- Консервативное лечение включает наблюдение и управление болевыми симптомами с помощью обезболивающих препаратов.
- Хирургическое вмешательство рекомендуется при значительном дискомфорте или подозрении на злокачественность.
- Лапароскопическая или открытая резекция остеомы — основные методы хирургического лечения.
- После операции необходим контроль и реабилитация для восстановления функции реберной клетки.
Остеома. Симптомы, причины и лечение
Остеома – это доброкачественная костная опухоль, размеры которой могут достигать нескольких сантиметров.
Чаще всего она образуется в костях черепа и лицевой области. Несмотря на то, что протекание болезни обычно не сопровождается симптомами, давление опухоли на соседние ткани может вызывать различные проблемы, включая затруднение носового дыхания и неврологические нарушения.
Что такое остеома?
Остеомы чаще всего встречаются в плоских костях лицевого черепа, однако могут также развиваться в ребрах, тазовых костях и длинных костях конечностей. В некоторых случаях они формируются внутри костей, образующих придаточные носовые пазухи, что может приводить к препятствию в их функционировании.
Остеома обычно возникает в возрасте 40-50 лет, в два раза чаще у мужчин. В среднем костяные кубики достигают в диаметре нескольких сантиметров. Чаще всего они образуют твердую, четко выраженную массу костной консистенции, не вызывающую каких-либо неприятных симптомов.

Данное образование часто связано с генетическим расстройством, называемым синдромом Гарднера, при котором у пациентов наблюдаются множественные полипы в прямой кишке и остеомы, в основном в области челюсти.
На сегодняшний день причины появления остеом остаются неясными, однако предполагается, что наследственные мутации могут играть определённую роль.
Остеома ребра представляет собой доброкачественную опухоль, которая иногда может вызывать дискомфорт или болевые ощущения, однако часто она не требует активного лечения. В большинстве случаев, если остеома не вызывает значительных проблем, врачи предпочитают наблюдать за ее состоянием и не вмешиваться, так как она может не проявлять никаких клинических симптомов.
Если остеома приводит к боли или другим неприятным ощущениям, существует несколько подходов к ее лечению. Консервативные методы могут включать в себя применение обезболивающих препаратов или физиотерапию, что поможет облегчить симптомы. В отдельных случаях, если остеома вызывает значительный дискомфорт или ограничивает подвижность, рассматривается возможность хирургического удаления опухоли. Такой подход позволяет устранить проблему и снизить риск рецидива симптомов.
Важно отметить, что каждая ситуация индивидуальна, и решение о лечебной стратегии следует принимать после тщательной диагностики и обсуждения с лечащим врачом. Изучение всей картины состояния здоровья пациента и рекомендаций специалистов позволит выбрать наиболее эффективный метод лечения с учетом всех факторов, включая возраст, общее состояние здоровья и наличие сопутствующих заболеваний.
Причины возникновения

Существуют две основные теории о возникновении остеом: первая связывает их с остатками эмбрионального хряща, а вторая — с развитием из периоста зрелой кости. В некоторых случаях их возникновение может быть связано с перенесенными воспалительными процессами или травмами. Источник:
Торопова И. А. Особенности клинического течения остеомы носа и околоносовых пазух / И. А. Торопова // Вестник РУДН. — Серия Медицина. — 2005. — № 1(29). — С. 95-97.
Считается, что развитию остеом также способствуют:
- травмы;
- переохлаждение;
- воспалительные процессы и инфекции;
- определённые заболевания (ревматизм, подагра, сифилис);
- наследственная предрасположенность.
Симптомы
Симптомы остеомы могут варьироваться в зависимости от её расположения. Тем не менее, существуют некоторые общие клинические признаки:
- находится на плоских и трубчатых костях, позвонках, в стенках придаточных пазух носа и на поверхности черепа;
- отсутствие подвижности;
- плотная структура;
- гладкая поверхность;
- чёткие контуры;
- не вызывает боли при надавливании.
Остеома может долгое время не проявляться и не доставлять неудобств, однако при достижении значительных размеров она начинает оказывать давление на окружающие ткани и кости, что приводит к появлению следующих симптомов:
- болевые ощущения;
- в случае расположения в носовых пазухах, возможно опущение века (птоз), ухудшение зрения и другие проблемы;
- нарушения памяти и эпилептические припадки (при локализации в области внутричерепного пространства);
- хромота (при развитии в костях ног);
- кровотечения из носа, трудности с дыханием (если опухоль расположена в гайморовой пазухе).
Таблица симптоматики, в зависимости от расположения опухоли
Расположение опухоли
Описание симптомов
Задняя стенка лобной пазухи
Непреходящие головные боли, повышенное внутричерепное давление
Нижняя стенка лобной пазухи
Чёткое выпячивание глазного яблока
Трудности с носовым дыханием, отсутствие обоняния, двоение в глазах, опущение века, выпячивание глазного яблока, ухудшение зрения
Ухудшение зрения, боль
Головные боли, ухудшение памяти, повышенное внутричерепное давление, судороги
Регулярные головные боли, эпилептические припадки
Бедренная, таранная, большеберцовая кости
Необычная походка, отёк ног, дискомфорт в мышцах во время ходьбы
Височная и теменная кости
Только эстетический дефект, неприятных симптомов нет
Опухоль затрудняет нормальное передвижение
Боль за грудиной
Виды остеом
По морфологическим характеристикам остеомы можно классифицировать следующим образом:
- компактные (чаще всего поражают плоские кости черепа, растут медленно — в среднем на 1,5 мм в год);
- губчатые (спонгиозные);
- смешанные, которые сочетают признаки как компактных, так и губчатых остеом.
По характеру роста мелкие и крупные остеомы бывают 2 типов:
- периостальные — патологическая костная ткань формируется на наружной поверхности кости;
- эндостальные — образование происходит из костномозгового канала.
Симптомы остеомы
Остеомы могут длительное время существовать без каких-либо клинических проявлений, и симптомы, как правило, начинают проявляться при достижении значительных размеров.
Для остеом лобной и решетчатой области характерны головные боли, носовые кровотечения и изменения в форме лба. Офтальмологические симптомы включают выпячивание глаз, двоение зрительных образов, опущение века, ухудшение зрительной функции и повышенное слезотечение.
Локализация остеом в височной кости может приводить к появлению следующих признаков:
- снижение слуха;
- воспаление наружного и среднего уха;
- сдавление лицевого нерва;
- чувство тяжести;
- головокружение и шум в ушах;
- головная боль;
- эстетические проблемы (если опухоль растет в области за ушами).
Остеома
Остеома: факторы возникновения, симптомы, диагностика и методы лечения.
Определение
Остеома – это доброкачественная опухоль, состоящая из зрелых клеток костной ткани. Часто остеомы наблюдаются в различных отделах лицевого скелета, типичное их расположение – нижняя челюсть, область носа и околоносовых пазух – лобной (96% случаев), гайморовой, решетчатой, клиновидной. Кроме того, остеомы могут располагаться на длинных костях тела – плечевых, бедренных и большеберцовых, а также на телах позвонков. У мужчин остеомы возникают чаще, чем у женщин, могут манифестировать в любом возрасте, однако в период активного роста костной ткани риск их развития выше.
Распространенность остеом в общей популяции составляет около 1%.
Причины возникновения остеом
Точные причины развития этих доброкачественных опухолей костной ткани пока не установлены. Основными факторами риска считаются травмы, воспаления, инфекции и переохлаждение. Некоторые специалисты не считают остеомы настоящими опухолями и определяют их как нарушения эмбрионального формирования и развития костной ткани.

Классификация заболевания
По структуре выделяются три типа остеом: компактные, губчатые и смешанные. Губчатые остеомы состоят из костных перекладин с костномозговыми пространствами между ними. Компактные остеомы имеют высокую плотность, состоят из пластиночной кости с немногочисленными узкими трубчатыми полостями и не содержат костного мозга. Смешанные остеомы сочетают в себе особенности как губчатых, так и компактных форм.
Компактные остеомы чаще всего встречаются в плоских костях (например, затылочной, в области глазницы, на стенках лобной и гайморовой пазух), в то время как губчатые остеомы обнаруживаются в длинных трубчатых костях конечностей.
Остеомы бывают одиночными (чаще всего) и множественными. Формирование множественных остеом в сочетании с полипозом кишечника и мягкотканными узлами характерно для такого заболевания, как синдром Гарднера–Тернера.
Симптоматика остеом
Во многих случаях доброкачественные опухоли проявляются слабо и могут быть случайно выявлены при рентгенографическом исследовании. Остеомы часто растут медленно и не склонны к злокачественному перерождению или метастазированию. Это уплотнённое, неподвижное образование, расположенное на краю кости, имеет размеры от 2 до 30 мм. Пациента могут беспокоить боли, отёк и деформация в месте локализации опухоли, при этом мягкие ткани над ней остаются неизменными. Болевой синдром у остеом обычно более выражен в ночное время и постепенно усиливается с возрастом.
Достигнув определенного размера, остеомы обычно останавливаются в росте или резко его замедляют.
Если остеома сдавливает нерв или сосудистый пучок, появляется болевой синдром. Рост крупных остеом в области лобной кости может также привести к глазным симптомам, таким как двоение в глазах (диплопия), выраженное выпячивание глазного яблока (экзофтальм), а также учащение и разные размеры зрачков (анизокория), опускание верхнего века и плохое зрение.

При расположении опухоли рядом с нервным корешком или в отростке позвонка могут возникать симптомы сдавления спинного мозга, деформация позвоночника, болевой синдром.
Развивая на внутренней поверхности костей черепной коробки, остеома растёт в полость черепа, что может привести к головным болям, проблемам с памятью, эпилептическим приступам, а также повышенному внутричерепному давлению.
Расположение опухоли в области «турецкого седла» приводит к риску развития гормональных нарушений.
Остеомы околоносовых пазух могут вызывать головные боли, вторичный синусит (воспаление пазух), выпячивание глазного яблока с последующим двоением зрения, а также отёк области вокруг глаз и ишемию зрительного нерва.
При достижении больших размеров или расположении рядом с суставами остеома может ограничивать их подвижность; так, например, остеома в области нижней челюсти может создавать как эстетические, так и функциональные недостатки.
Остеома в области костей нижних конечностей может проявиться нарушением походки, болью при ходьбе, может затрагивать область коленного сустава.
Диагностика остеомы
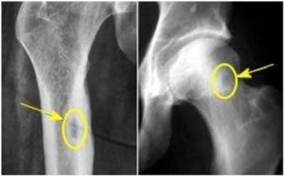
Для установления диагноза необходимо провести рентгенограмму или компьютерную томографию поражённой области кости:
- рентгенограмма бедренной кости;
Рентгенография бедренной кости Рентгенологическое исследование костно-суставной системы нижних конечностей предназначено для обнаружения различной патологий, в том числе и травматического ге.
Остеома

Слово «новообразование» в диагностическом заключении может вызывать у человека чувство тревоги. Тем не менее, давайте рассмотрим, какие опасения действительно обоснованы и какие шаги стоит предпринять при подозрении на остеогенную опухоль.
Остеогенные опухоли могут быть как доброкачественными — остеома и остеоид-остеома, так и злокачественными — остеосаркома, а также занимать промежуточное положение, как остеобластома.

Остеома — это вид доброкачественного остеогенного новообразования, состоящего из компактной костной ткани. Если остеома образуется на поверхности кости, её называют экзостозом, а если она развивается в костномозговой полости — эностозом. Синонимы: остеома — «экзостоз из слоновой кости», а эностоз — «костный островок».
В большинстве случаев остеомы возникают в костях, сформировавшихся вследствие интрамембранозной оссификации — крыше и костях лицевого черепа, редко вне черепа. Эностозы обычно встречаются в эпи- и метафизах длинных костей, костях таза и телах позвонков. Гистологически различают компактные и губчатые остеомы.
Эти образования состоят из пластинчатой костной ткани, и при активной перестройке губчатой структуры могут наблюдаться элементы, напоминающие остеобластому. Они представляют собой высокоразвитаю костную ткань с относительно благоприятным течением и отсутствием агрессивного роста. Эти образования не трансформируются в злокачественные опухоли, не захватывают окружающие ткани (за исключением вероятности механического сжатия в случае увеличения размера опухоли) и не имеют склонности к метастазированию. Обычно такие опухоли возникают в период с 5 до 20 лет.
Специалисты нашего центра обладают значительным опытом в лечении различных заболеваний опорно-двигательной системы, включая опухоли.
| С чего начать? Необходимо обратиться к травматологу-ортопеду или онкологу для правильной постановки диагноза | Какие исследования необходимы? Рентгенология, магнитно-резонансная томография, клинические анализы и другие диагностические процедуры – в зависимости от показаний. |
Остеома и остеоид-остеома чаще всего определяются на основе рентгенографических снимков, а также с применением магнитно-резонансной томографии (МРТ), компьютерной томографии (КТ) и радиоизотопного сканирования. В случае, если необходимо исключить возможность злокачественного характера опухоли, специалист производит биопсию костной ткани с последующим гистологическим анализом.
Необходимо провести дифференциальную диагностику с остеосаркомой, болезнью Кенига, остеопериоститом, склерозирующим остеомиелитом и хроническим абсцессом Броди.
| Рентгенография бедренной кости с остеомой | КТ лобной кости с остеомой |
![]() |
Изображение остеомы лобной кости

Симптомы. Остеома растет очень медленно, практически не причиняет беспокойства и обнаруживается случайно, особенно на ранних стадиях развития.
- может быть обнаружена на плоских и трубчатых костях, позвонках, в стенках придаточных носовых пазух и на поверхности черепа;
- не вызывает болевых ощущений при прощупывании;
- имеет неподвижную, плотную структуру;
- обладает гладкой поверхностью и четкими краями;
Если у пациента имеются следующие симптомы, следует обратиться к врачу для обследования:
- болевые ощущения;
- при наличии опухоли в придаточных пазухах носа — опущение века (птоз), ухудшение зрения и другие нарушения;
- проблемы с памятью, эпилептические приступы (при локализации опухоли на внутренней поверхности черепа);
- хромота (при наличии опухоли на костях ног);
- кровотечения из носа и затрудненное дыхание (в случае расположения опухоли в области гайморовой пазухи).
Симптоматика остеомы меняется в зависимости от места ее расположения:
· Задняя стенка лобной пазухи — непреходящие головные боли, повышенное внутричерепное давление
· Нижняя стена лобной пазухи — заметное выступание глазного яблока.
· Носовая полость — затрудненное носовое дыхание, отсутствие обоняния, двоение в глазах, опущение века, выступание глазного яблока, ухудшение зрительных функций.
· Околоносовые пазухи — ухудшение зрения, боль.
· Лобная кость — головные боли, ухудшение памяти, повышение внутричерепного давления, судороги.
· Затылочная кость — частые головные боли, эпилептические припадки.
· Бедренные, таранные и большеберцовые кости — необычная походка, отечность конечностей, болезненные ощущения в мышцах при ходьбе.
· Коленный сустав – изменение походки, нарушение функций.
· Ребро — боль за грудиной.
· Позвонки — искривление позвоночника, сколиоз.
· «Турецкое седло» — гормональные нарушения.
Причины возникновения заболевания:
1. Генетическая предрасположенность (риск для детей — до 50%).
2. Наличие пускового фактора – травмы, особенно повторной
3. К некоторым воспалительным или инфекционным заболеваниям (например, ревматизм, подагра, сифилис);
5. Нарушения в обмене кальция.
Классификация доброкачественных остеогенных опухолей:
1. Гетеропластические – формируются из соединительной ткани. Встречаются не только на костях, но в мягких тканях и органах – в диафрагме, местах крепления сухожилий, оболочках сердца и др. Сюда относятся остеофиты.
2. Гиперпластические — возникают из костной ткани. Эта группа включает остеоидные остеомы и остеомы.
Имеется внутренние и наружные остеофиты.
· Внутренние называются «эностозы», они вырастают в канал костного мозга. Обычно одиночные, кроме остеопойкилоза. Не дают симптомов и обычно случайно обнаруживаются, когда человеку делают рентгенографию.
· Внешние известны как «экзостозы». Они образуются на поверхности костей и могут возникать без явной причины или быть следствием определённых патологий. Экзостозы без видимых причин зачастую формируются на костях черепа, лицевых и тазовых структурах. Они могут не проявляться симптоматически и быть лишь эстетическим недостатком, либо оказывать давление на соседние органы. Иногда может произойти перелом ножки экзостоза, что приведет к деформациям костей.
Остеома представляет собой структуру, аналогичную костной ткани, чаще всего наблюдается на лицевых и черепных костях, включая придаточные носовые пазухи. В два раза чаще она диагностируется у мужчин, а среди лицевых костей — в три раза чаще. В большинстве случаев это единичные образования, но при болезни Гарднера могут возникать множественные опухоли на длинных трубчатых костях. Они безболезненны и не проявляют себя, однако при давления на соседние структуры могут появиться различные симптомы. Выделяются множественные врожденные остеомы черепных костей, которые могут комбинироваться с другими отклонениями в развитии.
- Остеоидная остеома — это хорошо дифференцированная костная опухоль с отличной структурой, состоящая из сосудистых элементов остеогенной ткани, зон разрушения кости и костных балок. Обычно её диаметр не превышает 1 см, и она составляет около 12% всех доброкачественных костных опухолей.
Для нас, каждый пациент это индивидуальность, у которого существуют определенные внешние и внутренние воздействия на организм, поэтому лечение подбирается специальное для каждого своё.
Лечение остеомы может быть как симптоматическим, так и хирургическим.
Симптоматическая терапия направлена на уменьшение болевых ощущений и дискомфорта и включает использование анальгетиков и нестероидных противовоспалительных средств (НПВС).
Хирургическое вмешательство осуществляется при наличии показаний:
· сдавливание прилегающих органов и тканей
· нарушение функций органов;
· наличие косметического дефекта, вызывающего значительный психологический дискомфорт.
В последнее десятилетие все большее распространение получают малоинвазивные методы удаления очага доброкачественных остеогенных опухолей: рассверливание очага под КT-контролем, лазерная фотокоагуляция, криовоздействие и КТ-подконтрольная чрескожная радиочастотная абляция.
Наше медицинское учреждение фокусируется на лечении заболеваний опорно-двигательного аппарата. Врачи нашего центра обладают многолетним опытом в борьбе с подобными заболеваниями и травмами, применяя как хирургические, так и прежде всего консервативные методы терапии. Мы поможем вам восстановить здоровье ваших суставов.
Остеома
Остеома представляет собой доброкачественное новообразование, возникающее из костной ткани вследствие беспорядочного деления специфических клеток. В процессе формирования клетки фиброзной ткани заменяют костные, образуя медленнорастущие наросты в форме полусферы. Доля данного заболевания составляет 10% среди всех опухолей костной ткани и чаще всего протекает без явных симптомов, выявляясь случайным образом. Остеома наиболее часто встречается у детей, а среди молодежи до 21 года находится во второй группе риска.
Не каждое новообразование сферической формы является остеомой, врач должен дифференцировать ее от других опухолей – бластоматозных, невропатических, воспалительных, реактивных и других. Остеома часто локализуется на височной, лобной, клиновидной, ключевой, бедренной, кости, на лицевых костях черепа, вызывая различную симптоматику.
В сети медицинских учреждений НИАРМЕДИК осуществляется лечение, включая операции, как для взрослых, так и для детей. Мы располагаем современным диагностическим оборудованием, квалифицированными врачами-хирургами, операционными залами и стационаром, что позволяет нам предлагать полный спектр медицинских услуг.
Анализы и диагностика
Остеомы
Рентгенография является основным и наиболее информативным методом диагностики остеомы, на снимках опухоль выглядит как образование с высокой плотностью и четкими контурами, превышающими плотность окружающей костной ткани. Губчатая остеома на рентгеновских изображениях демонстрирует неоднородную структуру, с чередующимися зонами разрежения и уплотнения (см. изображение ниже). При малых размерах опухоли может быть назначен компьютерный томограф. При необходимости проводят гистологическое исследование, при котором выявляют характерные изменения архитектуры компактной кости, практически отсутствие каналов остеонов и сужение сосудистых каналов.

Дифференциальная диагностика осуществляется с остеосаркомой, хондромой, оссифицирующейся фибромой, остеоидной остеомой, а также со склерозирующим остеомиелитом, остеохондрозом, остеопериоститом и остеогенной саркомой.
Остеоид-остеомы
Для диагностики используется рентгенография, на которой выявляется овальной формы очаг деструкции костной ткани с чёткими контурами с зоной остеосклероза вокруг очага за счёт периостальных/эндостальных изменений (фото ниже).

На начальном этапе формирования опухоли четко выделяется граница между центральной зоной и ободком, которая постепенно исчезает по мере минерализации опухоли. Основная сложность в диагностике остеоид-остеомы заключается в её малых размерах, которые часто не превышают 1,5 см. Для более точного определения характера поражения и визуализации области интереса рекомендуется выполнять компьютерную томографию или МРТ с использованием тонких срезов для получения изображений высокого качества, так как удаление опухоли проводят под контролем лучевых методов.
Гистологическое исследование показывает остеогенную ткань, содержащую множество сосудов. Центральная часть опухоли состоит из зон формирования и разрушения кости с переплетёнными тяжами и балками. В более зрелых опухолях выявляются небольшие участки склерозирования, а в полностью «зрелых» образуются зоны волокнистой кости.
Лечение
Лечение доброкачественных опухолей костей скелета является хирургическим и направлено прежде всего на купирование болевого синдрома и коррекцию нарушений функции и формы, вызванных опухолью. Если остеомы не причиняют пациенту неудобств или опухоль останавливается в росте рекомендуется наблюдение за опухолью в динамике. Если остеома имеет большой размер, сдавливает соседние ткани/органы, провоцируя дискомфорт и болевой синдром, меняет форму костей, является эстетическим дефектом или ограничивает подвижность проводится ее оперативное удаление. Чаще удалению подлежат опухоли на челюстях, пазухах носа, костях лицевого черепа.
Лечение остеоидной остеомы
Оперативное вмешательство является единственным эффективным методом лечения остеоид-остеомы. Объем хирургического вмешательства зависит от типа опухоли и её локализации. Полное удаление остеоидной остеомы в большинстве случаев ведет к полному восстановлению здоровья. При наличии интенсивного болевого синдрома могут назначаться анальгетические препараты (например, Анальгин, Аспирин, Ибупрофен, Напроксен, Кетопрофен, Вольтарен и другие).
Опыт других людей
Недавно мне поставили диагноз остеома ребра. Я решил обратиться за помощью в частную клинику, где мне предложили методы лечения. Врач посоветовал наблюдать за образованием, так как оно не проявляло себя. В случае появления дискомфорта предлагали операцию. Я выбрал наблюдательный подход, так как остеома не причиняла боли.
У меня остеома ребра, обнаруженная после рентгена при обследовании по другой причине. Врач рекомендовал не спешить с операцией и предложил пройти курс физиотерапии, чтобы уменьшить напряжение в мышцах вокруг ребра. После нескольких сеансов я заметил, что напряженность уменьшается, и не чувствую прямых последствий остеомы.
У моего мужа была остеома ребра, и после консультации с несколькими врачами он решил сделать операцию, чтобы избежать возможных осложнений в будущем. Операция прошла успешно, и восстановление заняло несколько недель. Он следовал всем рекомендациям, включая курс реабилитационной терапии.
Вопросы по теме
Какова роль наблюдения в лечении остеомы ребра?
Наблюдение может быть важным этапом в лечении остеомы ребра, особенно если опухоль не вызывает болевых ощущений и не нарушает функции дыхания. В большинстве случаев остеомы являются доброкачественными образованиями, которые медленно растут и не требуют немедленного вмешательства. В таких ситуациях врачи могут предложить периодические осмотры и контроль за состоянием опухоли. Однако, если возникают симптомы, такие как боль или ограничение подвижности, может быть принят вопрос о хирургическом вмешательстве.
Какие альтернативные методы лечения остеомы ребра могут рассматриваться?
Альтернативные методы лечения остеомы ребра, хотя и менее распространены, могут включать физиотерапию для укрепления окружающих тканей и уменьшения болевых ощущений. В некоторых случаях может быть целесообразным применение методов, таких как лазерная терапия или радиочастотная абляция, но эти подходы требуют тщательной оценки врача. Важно понимать, что любые альтернативные методы не заменят традиционное лечение и должны рассматриваться только под контролем специалиста.
Каковы последствия несвоевременного лечения остеомы ребра?
Несвоевременное лечение остеомы ребра может привести к ряду последствий, хотя само образование обычно является доброкачественным. В случае если остеома начинает расти или находится в неудобном положении, это может вызвать болевые ощущения, ограничение движений груди и затруднения в дыхании. В редких случаях, если остеома оказывается под давлением на соседние структуры, могут возникнуть более серьезные проблемы. Поэтому важно регулярно проводить обследования, чтобы отслеживать динамику состояния и избегать осложнений.

