Субхондральный склероз пальцев стопы представляет собой патологическое утолщение костной ткани, возникающее под хрящей суставов. Этот процесс часто связан с суставными заболеваниями, такими как остеоартрит, и проявляется болями, ограничением подвижности и отеками в области поражённых суставов.
Лечение субхондрального склероза включает в себя консервативные методы, такие как физиотерапия, обезболивающие препараты и физиотерапевтические процедуры. В некоторых случаях может потребоваться хирургическое вмешательство для восстановления суставной функции и снятия болевого синдрома, особенно при выраженных изменениях.
- Определение: Субхондральный склероз пальцев стопы – это утолщение и уплотнение костной ткани под хрящом в области суставов.
- Причины: Основные факторы включают травмы, остеоартрит, воспалительные заболевания суставов и возрастные изменения.
- Симптомы: Боль в области суставов, ограниченная подвижность, отечность и изменения в форме пальцев.
- Диагностика: Ультразвуковое обследование, рентгенограмма и МРТ используются для выявления каузальных изменений.
- Лечение: Включает применение противовоспалительных препаратов, физиотерапию, а в некоторых случаях – хирургическое вмешательство.
- Профилактика: Своевременное обращение к врачу при первых симптомах и соблюдение здорового образа жизни помогают предотвратить развитие заболевания.
Субхондральный склероз

Среди дегенеративно-дистрофических расстройств опорно-двигательной системы выделяется субхондральный склероз. Это заболевание поражает как суставные поверхности, так и структуры позвоночника. Обычно термин «склероз» вызывает ассоциации со старостью и нарушениями работы мозга, однако немногие понимают, что он также относится к изменениям костных тканей.
Сущность данной патологии заключается в увеличении объема субхондральной ткани, которая располагается под хрящом на поверхности суставов. Эта ткань формирует как ямки для суставов, так и головки костей. Такой тип дегенеративных изменений может возникать в суставах или в замыкательных пластинах тел позвонков.
Механизм развития
Остеосклероз не является отдельным заболеванием, а скорее проявлением поражения суставных поверхностей и мыщелков кости, которые можно обнаружить с помощью рентгенографического обследования. Нарушение кровоснабжения и обменных процессов в субхондральной ткани приводит к ее деформации, уплотнению костной ткани и разрушению хряща.
Таким способом проявляются артроз, спондилит и остеохондроз. Поражению чаще всего подвергаются суставы, выдерживающие самую большую нагрузку: тазобедренные суставы, кисти рук, головки большеберцовой кости. В позвоночнике субхондральному склерозу подвержены больше всего поясничный и шейный отдел.
При повреждении хряща, который находится на внутренней поверхности сустава, он начинает замещаться костной тканью. С течением времени она разрастается и уплотняется, при этом могут формироваться остеофиты — костные наросты. Хотя иногда они не причиняют дискомфорта, чаще всего наблюдается сужение суставного пространства, которое ограничивает движения и вызывает болевые ощущения.
Если пострадает бедренная кость, это может привести к полной неподвижности. В результате дегенеративных изменений в суставах позвоночника часто возникают ущемления нервных корешков остеофитами, что вызывает боли в спине и различные неврологические расстройства.
Субхондральный склероз пальцев стопы — это патологическое изменение, происходящее в области кости под хрящевой тканью суставов. Обычно проблема возникает вследствие избыточной нагрузки на суставы или неправильного распределения веса, что приводит к увеличению плотности кости и образованию склерозных участков. Этот процесс может быть результатом остеоартрита или других дегенеративных заболеваний суставов, так как хрящевая ткань истончается, и кости начинают «защищаться» от перегрузок, что и вызывает склероз.
Лечение субхондрального склероза пальцев стопы включает в себя комплексный подход. В первую очередь, необходимо снизить нагрузку на поражённые суставы, что можно достичь путем изменения обуви, использования ортопедических стелек или индивидуальных стелек для поддержки арки стопы. Физиотерапия, магнитотерапия и электромиостимуляция также могут быть полезными для улучшения кровообращения и уменьшения воспалительного процесса в области суставов.
В некоторых случаях может потребоваться медикаментозное лечение, подобранное специалистом, включая нестероидные противовоспалительные препараты для снятия болевого синдрома и уменьшения воспаления. Важно также рассмотреть возможность применения хондропротекторов для восстановления хрящевой ткани и поддержания здоровья суставов. Если консервативное лечение не приносит облегчения, следует обсудить с врачом возможность хирургического вмешательства для удаления фрагментов ткани или коррекции деформаций суставов.
Причины остеосклероза
- наследственные заболевания: дизостеосклероз, остеопетроз, мелореостоз, склероостеоз, пикнодизостоз
- травмы и механические повреждения костей
- новообразования и метастазы
- высокие физические нагрузки и тяжелая работа
- воздействие токсических веществ и радиации
- порушения кровообращения и питания костей
- возрастные изменения дистрофического характера
Симптомы остеосклероза зависят от местонахождения костных уплотнений и характера патологического процесса.
Субхондральный склероз замыкательных пластинков тела позвонков может проявляться резкими болевыми ощущениями, ограничением подвижности и потерей чувствительности нижних конечностей. Это также создает риск компрессионных переломов.
Колена — симптомы проявляются на поздней стадии болью при ходьбе.
При склерозе плечевого сустава могут возникать щелчки, хруст, трудности с поднятием рук и слабость мышц. Эти проблемы часто вызываются слишком высокими нагрузками на сустав.
В тазобедренном суставе наблюдается боль, которая intensifies при движении, а также риск перелома головки бедра.
Субхондральный склероз суставных поверхностей стоп и голеностопа может вызывать плоскостопие, а также деформацию пальцев и стопы.
Классификация и стадии развития
По классификации выделяют физиологический и патологический остеосклероз, последний в свою очередь делится на врожденные и приобретенные формы.
Что касается этиологии, выделяются посттравматический, дегенеративно-дистрофический, идиопатический (неизвестного происхождения), токсический и реактивный остеосклерозы.
По локализации патологического процесса выделяют следующие формы:
- локальный
- местный
- широко распространенный
- системный
Наиболее тяжелой формой является системный остеосклероз, который характеризуется полным повреждением костной массы.
Симптоматика артроза стопы
Симптомы данного заболевания разнообразны и могут различаться по степени выраженности в зависимости от стадии недуга: от легкого дискомфорта при длительной стоячей работе до значительных деформаций пальцев и явных изменений в походке.
Наиболее часто встречающиеся симптомы при артрозе стоп:
- Хруст и щелчки при движении (крепитация).
- Отечность и покраснение кожи в области поражения;
- Болевые ощущения при физической нагрузке, исчезающие в состоянии покоя.
- Метеозависимость: тупые ощущения в суставах при изменении погоды.
- Деформация суставов стопы с увеличением их размеров.
- Изменения в походке, вызванные стремлением пациента разгрузить больной сустав.
- Повышенная температура.
- Снижение трудоспособности, быстрая утомляемость, образование характерных мозолей.
- На поздних стадиях — заметная деформация суставов, которая становится очевидной при осмотре.
Диагностика
Для правильного лечения артроза стопы или пятки требуется медицинское обследование. Доктор при осмотре обращает внимание на деформацию стопы, на специфические изменения большого пальца и степень ограниченности движений в суставах. Важно исключить иные заболевания (подагра, охроноз, нейрогенная артропатия, плоскостопие 2 степени и др.). Для этого назначается развернутый общий анализ крови и иногда проводится диагностическая аспирация.
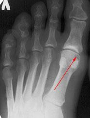
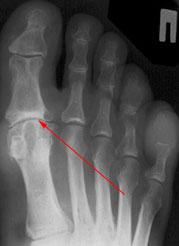
Для диагностики обязательно необходимо провести рентгенографию стопы. Этот метод позволяет выявить костные изменения, разрастания, пограничные дефекты суставных поверхностей, уменьшение суставных щелей, субхондральный склероз костной ткани и наличия кистовидных образований, что дает возможность провести дифференциальную диагностику.
Профилактика
Чтобы предотвратить развитие суставных деформаций и потери подвижности, следует следовать этим рекомендациям:
- вести активный и здоровый образ жизни, контролировать вес;
- избегать переохлаждений;
- заниматься лечебной физкультурой, фитнесом или йогой, избегая чрезмерных нагрузок и травм;
- соблюдать правильный режим питания, обеспечивая достаточное поступление белков и микроэлементов;
- обращаться к врачам даже при легких травмах суставов и позвоночника для своевременной диагностики и лечения;
- периодически проходить курсы лечения несколько раз в год при хронических заболеваниях опорно-двигательной системы или системных расстройствах.
Субхондральный склероз служит маркером суставных заболеваний и не является отдельной болезнью. Он может быть обнаружен при рентгеновском обследовании и имеет прогрессирующий характер.
При возникновении жалоб со стороны суставов или позвоночника важно немедленно обратиться к врачу для обследования, включая рентгенографию. Если патология будет выявлена, пациент должен строго следовать рекомендациям врача для сохранения здоровья и активных движений.
Причины артроза I плюснефалангового сустава (ПФС)
- Наследственная предрасположенность.
- Анатомические особенности суставов.
- Сильные статические нагрузки.
- Плоскостопие.
- Использование узкой обуви на высоких каблуках.
- Подагра и некоторые системные или эндокринные заболевания.
- Боль. В начале боли возникают после физической активности, постепенно исчезают в состоянии покоя. С течением времени боль становится постоянной и ограничивает активность.
- Ограничение подвижности. Сначала затрудняется тыльное сгибание, затем подошвенное. Позже объем движений истощается, что в конечном счете может привести к полной неподвижности (анкилозу).
- Отечность в области основания большого пальца, покраснение.
- Хромота.
Стадии заболевания
Существует несколько классификаций артроза I плюснефалангового сустава (Harttrup and Johnson, 1988; Barca, 1997; Easley, Davis et al., 1999; Coughlin M.J. et al., 2003).
В зависимости от того, какой из них используется, разделяют 3 или 4 стадии артроза, не считая дорентгенологическую стадию (0).
Первая степень характеризуется периодическими болями после значительных нагрузок и накопленной усталостью.
На второй степени проявляется усиленный болевой синдром, которое ограничивает тыльное сгибание (разгибание) I пальца. Рентгенография выявляет субхондральный склероз, уплощение суставных поверхностей и сужение суставного пространства.



На третьей степени боли становятся постоянными и беспокоят даже в состоянии покоя. Тыльное сгибание пальца отсутствует, подошвенное ограничено. Возникает деформация сустава. На рентгенографических изображениях фиксируются костные наросты, выраженная деформация суставных поверхностей.
Четвертая степень. Все вышеперечисленные симптомы становятся более выраженными, появляется заметная деформация, болевой синдром может стать невыносимым. В некоторых случаях развивается полное обездвиживание сустава.



Лечение
Лечение субхондрального склероза замыкательных пластин направлено на остановку прогрессирования заболевания и стабилизацию состояния пациента. В данной ситуации возможно продолжение поддерживающей терапии без нанесения вреда здоровью.
Медикаментозная терапия при субхондральном склерозе
Чтобы справиться с субхондральным склерозом позвоночника, требуется применение медикаментов, которые помогают снять симптомы и предотвратить дальнейшее развитие заболевания.
Эффективные группы лекарств:
- Анальгетики (например, Вольтарен, Долгит) – обычно применяются в форме мазей для облегчения болей, устранения воспалительных процессов и восстановления подвижности. Наносятся 3-4 раза в день, курс не должен превышать 2 недель. В тяжелых ситуациях дополнительно назначаются таблетки.
- Хондропротекторы (например, Терафлекс, КОНДРОнова) – воздействуют на причину повреждения замыкательных пластин и способствуют восстановлению хрящевой структуры. Они также улучшают продукцию синовиальной жидкости в суставах. Принимаются по 1-2 капсулы 2-3 раза в день на протяжении 2-3 месяцев.
- Миорелаксанты (например, Мидокалм, Диспорт) – помогают снять спазмы, а также эффективно справляться с сильным защемлением нервов. Дозировку назначает врач и обычно применяется курс внутримышечных инъекций.
- Витамины (например, Компливит, Витрум) – используются для укрепления организма, дозировка подбирается в соответствии с указаниями на упаковке.
- Седативные препараты, такие как валериана и пустырник, могут применяться при переживаниях, тревожных состояниях и страхах.
Лекарственные средства подбираются в зависимости от основного недуга, который привел к развитию субхондрального склероза концевых пластин. Врач может рекомендовать лишь анальгетики и хондропротекторы, либо расширить терапию, добавив дополнительные лекарства, если наблюдаются серьезные симптомы.
Немедикаментозное лечение при субхондральном склерозе
Главная цель такой терапии заключается в усилении хрящевой ткани и улучшении ее способности к восстановлению. Для достижения этих целей назначаются различные процедуры, как местного, так и общего воздействия, часть из которых можно выполнять в домашних условиях.
Классическая программа лечения при субхондральном склерозе концевых пластин:
- Физиотерапевтические процедуры (УВТ, магнитотерапия, вытяжение позвоночника) – способствуют улучшению кровообращения в проблемной области, активизируют рост хрящевых клеток, восстанавливают подвижность и увеличивают расстояние в суставной щели. Это лечение выполняется 2-3 раза в неделю в течение 1,5-2 месяцев.
- Мануальная терапия – коррекция положения позвонков с целью улучшения осанки. Сеансы проходят каждые два дня у специализированного врача.
- Массаж – поскольку склероз концевых пластин затрагивает весь отдел позвоночника, требуется прорабатывать всю спину, область шеи и воротниковую зону.
- Лечебная физкультура – комплекс упражнений должен быть деликатным, без чрезмерных нагрузок. Рекомендуются разминки с обручем, вытягивания и наклоны. Кроме того, можно комбинировать эти упражнения с плаванием.
- Использование ортопедических корсетов – необходимо для корректировки осанки. Важно проконсультироваться с врачом и подобрать подходящую модель для шейного или грудного отдела.
При выраженной форме субхондрального склероза может быть показана операция. В ходе процедуры иссекаются концевые пластинки, а уплотнения удаляются. Позвонки могут фиксироваться в неподвижном состоянии, иногда устанавливается имплантат.
Осложнения
Игнорирование лечения субхондрального склероза замыкательных пластин может привести к серьезным последствиям, включая:
- хронические деформации осанки;
- психозы;
- инсульт или инфаркт мозга;
- частичную потерю зрения или слуха;
- постоянные онемения в конечностях, судороги;
- нарушения самообслуживания.
Все вышеперечисленные осложнения являются первичными признаками патологии на ранних стадиях. Если провести лечение не удастся, это может привести как к летальному исходу, так и к серьезной инвалидизации пациента.
Опыт других людей
Мария, 32 года, office-менеджер: «После нескольких месяцев интенсивных тренировок я начала ощущать боль в пальцах стоп. Обратилась к врачу, и мне поставили диагноз – субхондральный склероз. Врач объяснил, что это изменение в структуре кости под хрящом, которое может быть вызвано перегрузкой. Он порекомендовал мне курс физиотерапии и уменьшение физической нагрузки. Также я начала принимать противовоспалительные препараты. Очень помогли специальные ортопедические стельки, которые снизили нагрузку на ноги. После нескольких месяцев я заметила заметное улучшение.»
Александр, 45 лет, инженер: «У меня с возрастом начались проблемы с суставами, и вскоре я узнал о субхондральном склерозе. Боль была достаточно сильной, особенно после долгих прогулок. Врач прописал мне комплекс упражнений для укрепления мышц стопы и ходьбы в удобной обуви. Также я начал принимать хондропротекторы. Это не быстрое лечение, но постепенно состояние стало улучшаться. Я думаю, что важно не запускать проблему и обращаться к специалистам при первых симптомах.»
Елена, 28 лет, преподаватель: «Я впервые узнала о субхондральном склерозе, когда стала жаловаться на постоянную боль в больших пальцах ног. Врач посоветовал сделать МРТ для более точного диагноза. Когда диагноз подтвердился, мне порекомендовали массаж и специальные тренировки. Я также начала следить за своим весом, так как лишние килограммы могут усугубить ситуацию. Теперь я стараюсь делать перерывы в течение рабочего дня и выбирать удобную обувь.»
Вопросы по теме
Каковы причины возникновения субхондрального склероза пальцев стопы?
Субхондральный склероз пальцев стопы может возникнуть по нескольким причинам. Основными факторами риска считаются возрастные изменения в организме, травмы суставов, хронические воспалительные заболевания, такие как артрит, а также нарушения обмена веществ. Кроме того, избыточная нагрузка на суставы, например, при избыточном весе или занятиях спортом, может способствовать развитию этого состояния. Иногда также играют роль генетические факторы, предрасполагающие человека к проблемам с суставами.
Какие методы диагностики используются для определения субхондрального склероза?
Диагностика субхондрального склероза начинается с клинического осмотра и сбора анамнеза. Врач может назначить рентгенографическое исследование, которое позволяет визуализировать изменения в костной ткани и суставных поверхностях. Дополнительно могут быть использованы МРТ или КТ для более детального изучения мягких тканей и структуры суставов. Также могут быть назначены лабораторные исследования для оценки воспалительных процессов и обменных нарушений в организме.
Влияет ли субхондральный склероз на повседневную жизнь и физическую активность?
Да, субхондральный склероз может значительно влиять на повседневную жизнь и физическую активность. Это состояние часто сопровождается болевыми ощущениями, ограничением подвижности суставов и ухудшением качества жизни. Пациенты могут испытывать трудности при ходьбе, выполнении повседневных задач и занятиях спортом. Иногда может возникнуть необходимость в применении ортопедических средств, таких как специальные стельки или обувь, чтобы уменьшить нагрузку на пораженные суставы и облегчить симптомы.
